
50代女性「前歯のガタガタが気になる」部分的な歯並びの改善に適したマウスピース型矯正装置「インビザラインGO」で、歯がきれいに並び物が噛み切れるようになった症例


ご相談内容
「前歯がガタガタなのが気になる」とご相談いただきました。
カウンセリング・診断結果
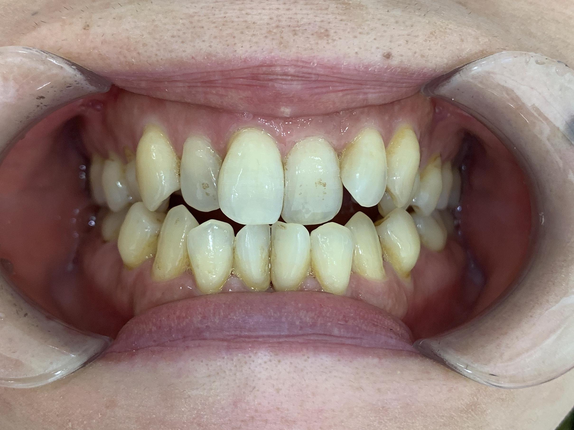
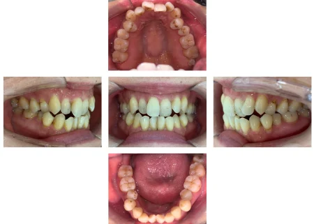
拝見すると、上下左右の前歯12本(中切歯/1番、側切歯/2番、犬歯/3番)が前後に重なっている「叢生(そうせい)」でした。
また、上下の前歯4本(中切歯)は先端同士が当たる噛み合わせ「切端咬合(せったんこうごう)」でした。
そのため、噛んだ時に他の前歯に隙間があり、物がうまく噛み切れない状態でした。
奥歯の噛み合わせは問題なく、しっかり噛めていました。
行ったご提案・治療内容
前歯など部分的な歯並びを改善するのに適したマウスピース型矯正装置「インビザラインGO」をご提案し、ご選択されました。
まず、どのように歯が動いていくかシュミレーションを行い、治療計画を立てました。
その後、患者様用にカスタマイズされたマウスピースを作製するための型取りを行い、完成後、装着方法や時間、お手入れの仕方をご説明しました。
治療中は定期的にご来院いただき、上下ともに歯の移動量が多いため、治療計画通りに移動しているか確認をしながら、微調整を行いました。
矯正治療が終わりに近づいた時、歯並びをさらによくするために、追加でマウスピースを作製し、装着していただきました。
矯正終了後は、歯が元の位置に戻る「後戻り」を防ぐための装置「リテーナー」のご使用をおすすめしました。
術後の経過・現在のご様子
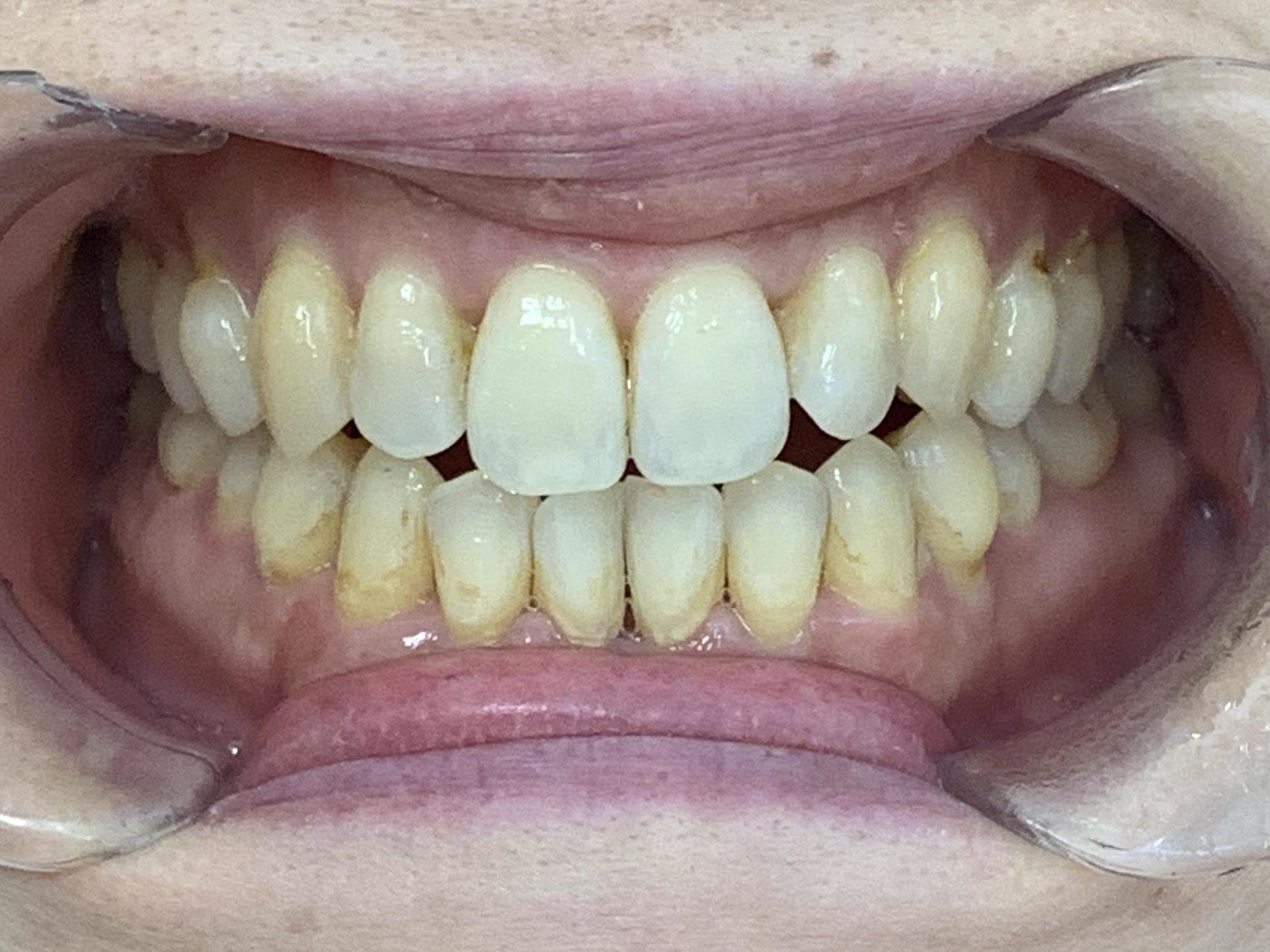
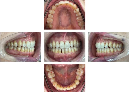
前後に重なり合って噛んだ時に隙間があった前歯が、整ったきれいな歯並びになり、物を噛み切れるようになりました。
患者様からは「ガタガタがなくなりきれいになって、前歯でも物を噛めるようになって嬉しい」と非常にご満足いただけました。
現在は、リテーナーをきちんとご使用いただき、歯並びに問題はなく、定期検診でご通院いただいています。
この治療のリスクについて
・決められたアライナーの装着時間を守らないと、次のアライナーに交換できず、治療が遅れたり十分な効果が得られない場合があります。
・歯を抜いた後に矯正する場合や、あごの骨格に問題がある場合など、マウスピース矯正に対応していない症例は、治療が困難な可能性もあります。
・治療による歯の移動に伴って、痛みや違和感を感じる場合があります。
・他の矯正治療と同様に、正しく歯磨きやメンテナンスを行わないと虫歯や歯周病のリスクが高まります。
- 年齢・性別50代女性
- 診療種別自由診療
- 治療期間の目安8ヶ月
治療費総額の目安430,000円
- 治療期間の目安8ヶ月


※掲載された情報は治療の効果を保証するものではありません。
ご利用により万一何らかの損害が発生したとしても、当サイトは一切責任を負いかねますのでご了承ください。








