インビザライン治療GO 症例

40代女性「前歯がガタガタに生えている」歯が重なり合って生えている「叢生」を、マウスピース型矯正装置「インビザラインGO」で美しい歯並びに改善した症例

ご相談内容

「前歯がガタガタに生えているのが気になる」と、ご相談いただきました。

カウンセリング・診断結果

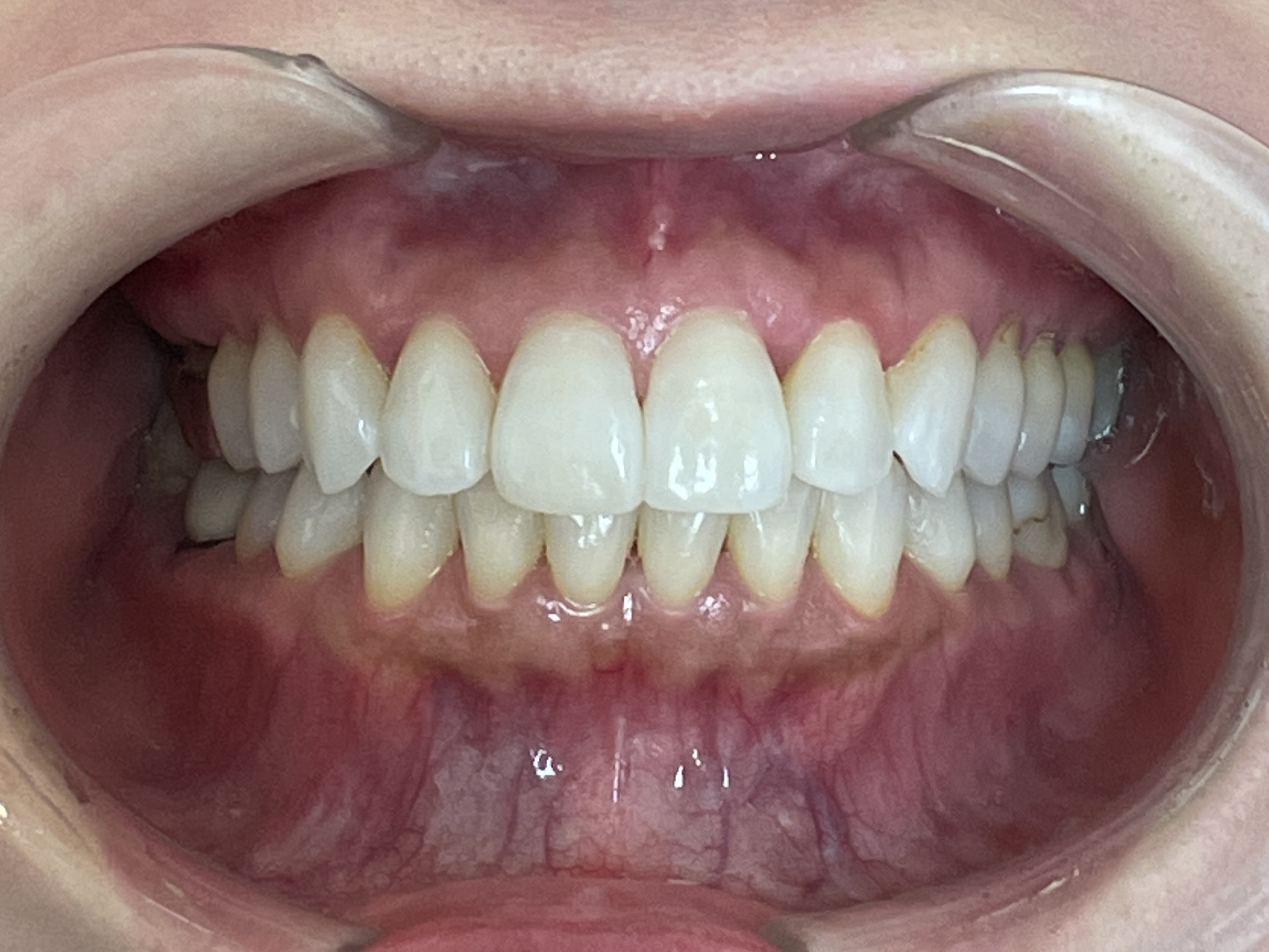
拝見したところ、下左右の前歯4本(中切歯/1番、側切歯/2番)が歯が重なり合って生えている軽度の「叢生(そうせい)」でした。

また、全体的に歯に黄ばみがあり、口元が暗い印象でした。

行ったご提案・治療内容

歯並びを整えるために、取り外し式のマウスピース型矯正装置「インビザラインGO」を選択しました。
インビザラインGOは、前歯を部分的に動かす装置で、短期間で治療を行うことができます。

さらに、専用の薬剤で歯を白くする「ホワイトニング」も行いました。

術後の経過・現在のご様子

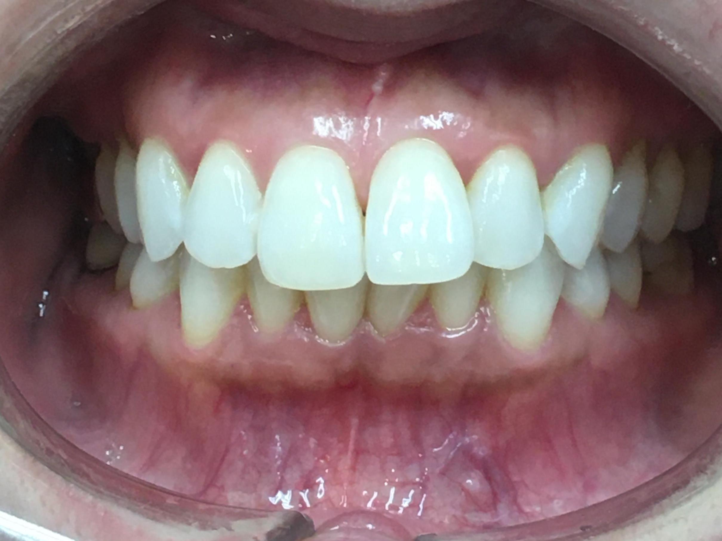
前歯が正しい位置に並び、きれいなアーチ状に整いました。
また、黄ばみも改善され、口元が明るい印象になりました。

患者様にも「歯並びも歯の色もきれいになって嬉しい」と、大変お喜びいただきました。

現在は定期検診でご来院いただき、経過を観察しています。

この治療のリスクについて

・決められたアライナーの装着時間を守らないと、次のアライナーに交換できず、治療が遅れたり十分な効果が得られない場合があります。
・歯を抜いた後に矯正する場合や、あごの骨格に問題がある場合など、マウスピース矯正に対応していない症例は、治療が困難な可能性もあります。
・治療による歯の移動に伴って、痛みや違和感を感じる場合があります。
・他の矯正治療と同様に、正しく歯磨きやメンテナンスを行わないと虫歯や歯周病のリスクが高まります。

  1. 年齢・性別40代女性
  2. 診療種別自由診療
    1. 治療期間の目安1年
      治療費総額の目安442,000円

※掲載された情報は治療の効果を保証するものではありません。
ご利用により万一何らかの損害が発生したとしても、当サイトは一切責任を負いかねますのでご了承ください。

PC・スマホでかんたんインターネット予約
三井アウトレットパークバス停徒歩5分 本院ご予約
高速出口すぐそばのショッピングモール内 大曲医院ご予約
札幌中心街、チカホから直結のmoyuk2F moyuk Sapporo院ご予約
オススメの関連記事