
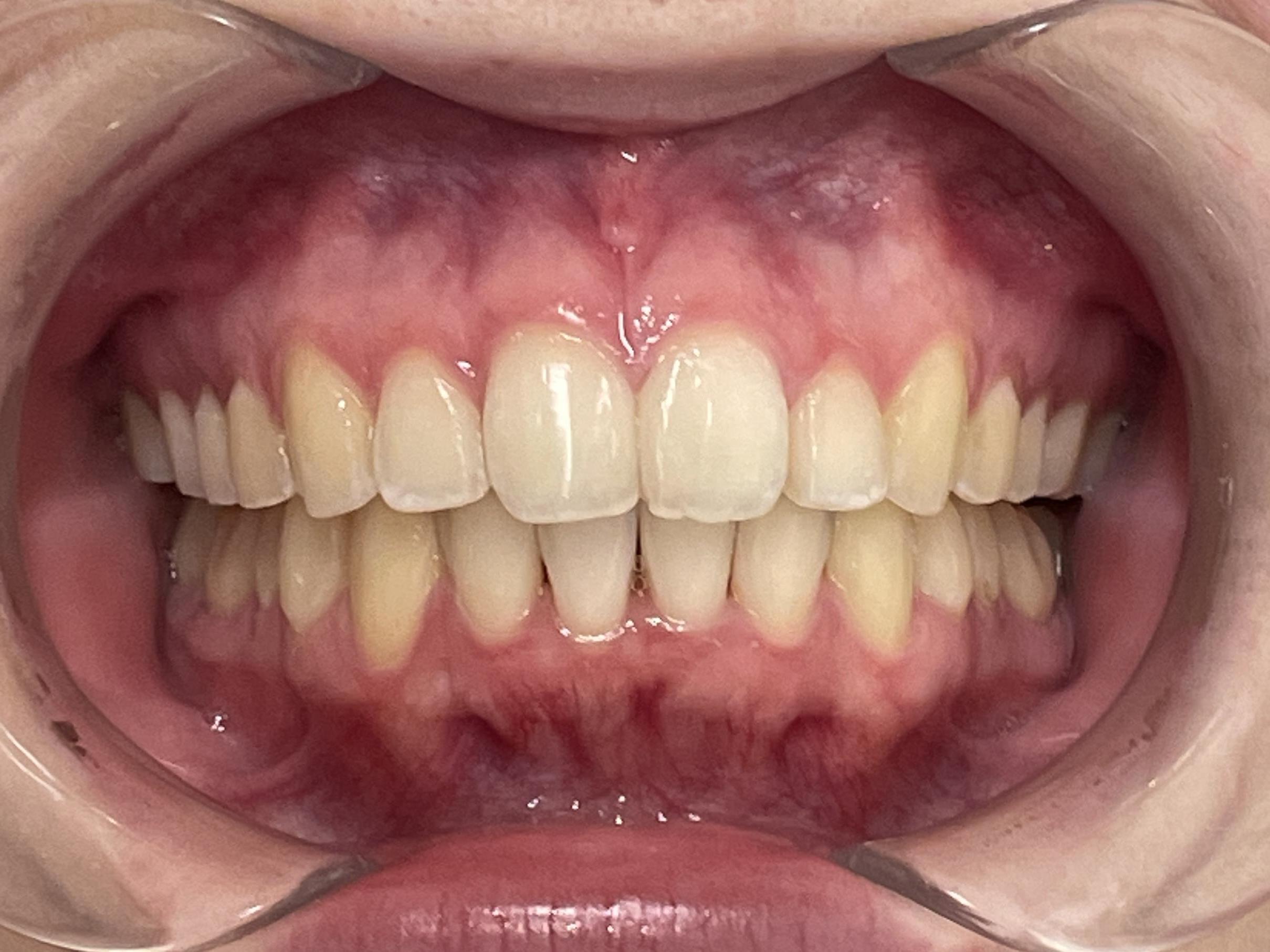
20代女性「口元が出ているのが気になる」上下の歯並びが前方に出ている「上下顎前突」を、マウスピース型矯正装置「インビザラインフル」で歯を抜かずに治療した症例


ご相談内容
「口元が出ているのが気になる」とご相談いただきました。
カウンセリング・診断結果
拝見したところ、上下の歯並びが前方に出ている「上下顎前突(じょうげがくぜんとつ)」が認められました。
唇を閉じる時に歯が邪魔になり、口元の突き出し感も生じていました。
また、歯が正常な位置からずれて生えている「叢生(そうせい)」も確認できました。
患者様は「歯を抜かずに治療したい」とご希望でした。
行ったご提案・治療内容
取り外し式のマウスピース型矯正装置「インビザラインフル」で、上下の歯並びを整える治療をご提案しました。
インビザラインフルを用いて奥歯から動かすことで、歯を抜かずに治療可能なことをご説明し、同意いただきました。
歯を移動させる際は、歯を順番に後ろへ下げることで突き出し感の改善を目指しました。
術後の経過・現在のご様子
歯が適切な位置に並び、口元も自然な見た目になりました。
患者様にも「歯並びを気にせず笑えるようになった。口元もすっきりして嬉しい」と大変お喜びいただきました。
現在は歯の後戻りを防ぐ「保定装置」をご使用いただき、定期的な検診でご来院いただいております。
この治療のリスクについて
・決められたアライナーの装着時間を守らないと、次のアライナーに交換できず、治療が遅れたり十分な効果が得られない場合があります。
・歯を抜いた後に矯正する場合や、あごの骨格に問題がある場合など、マウスピース矯正に対応していない症例は、治療が困難な可能性もあります。
・治療による歯の移動に伴って、痛みや違和感を感じる場合があります。
・他の矯正治療と同様に、正しく歯磨きやメンテナンスを行わないと虫歯や歯周病のリスクが高まります。
- 年齢・性別20代女性
- 診療種別自由診療
- 治療期間の目安2年半
治療費総額の目安705,000円
- 治療期間の目安2年半


※掲載された情報は治療の効果を保証するものではありません。
ご利用により万一何らかの損害が発生したとしても、当サイトは一切責任を負いかねますのでご了承ください。








