
20代男性「上の前歯の隙間が気になる」歯と歯の間に隙間が生じた「正中離開」を、前歯の治療に特化したマウスピース型矯正装置「インビザラインGO」で改善した症例


ご相談内容
「上の前歯の隙間が気になる」とご相談いただきました。
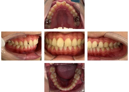
カウンセリング・診断結果
拝見したところ、上の前歯(左右中切歯/1番)に関して、歯と歯の間に隙間が生じた「正中離開(せいちゅうりかい)」と、左右対象に捻じれている「翼状捻転(よくじょうねんてん)」が認められました。
詳しい検査の結果、奥歯の位置や噛み合わせには問題ありませんでした。
行ったご提案・治療内容
取り外し式のマウスピース型矯正装置「インビザラインGO」で、前歯の歯並びを整える治療をご提案しました。
今回は奥歯を動かす必要がないため、前歯の矯正に特化したインビザラインGOが適応であることをご説明し、同意いただきました。
前歯の捻じれと隙間がしっかり改善されるよう綿密な治療計画を立ててから、患者様専用のマウスピースを作製し治療を開始しました。
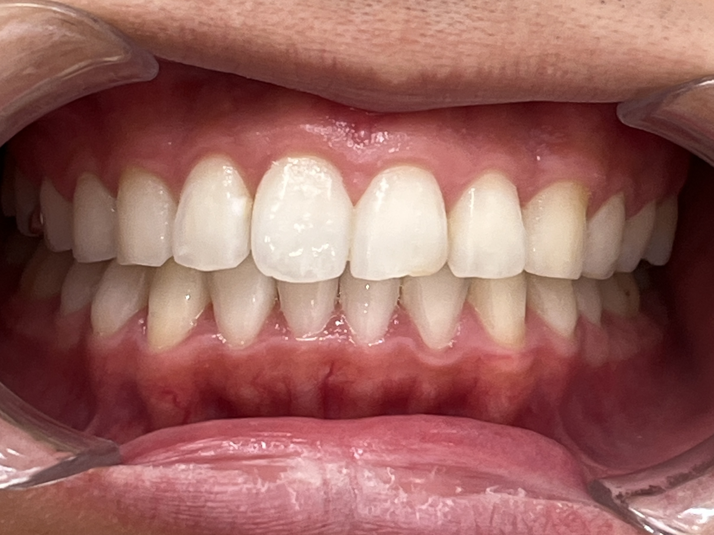
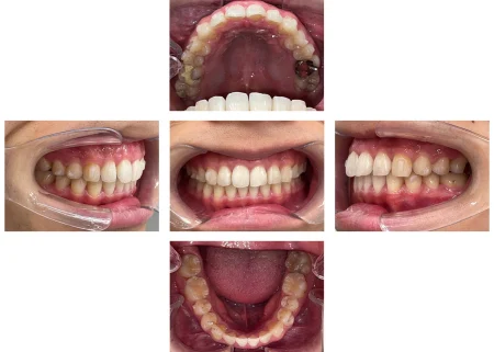
術後の経過・現在のご様子
前歯が適切な位置に隙間なく並び、美しい口元になりました。
患者様にも「目立っていた隙間や捻じれが綺麗になり嬉しい」と大変ご満足いただきました。
現在も定期的なメンテナンスでご通院いただいております。
この治療のリスクについて
・決められたアライナーの装着時間を守らないと、次のアライナーに交換できず、治療が遅れたり十分な効果が得られない場合があります。
・歯を抜いた後に矯正する場合や、あごの骨格に問題がある場合など、マウスピース矯正に対応していない症例は、治療が困難な可能性もあります。
・治療による歯の移動に伴って、痛みや違和感を感じる場合があります。
・他の矯正治療と同様に、正しく歯磨きやメンテナンスを行わないと虫歯や歯周病のリスクが高まります。
- 年齢・性別20代男性
- 診療種別自由診療
- 治療期間の目安10か月
治療費総額の目安420,000円
- 治療期間の目安10か月


※掲載された情報は治療の効果を保証するものではありません。
ご利用により万一何らかの損害が発生したとしても、当サイトは一切責任を負いかねますのでご了承ください。








