
10代女性「前歯がガタガタしているのが気になる」前歯が捻じれて生えている軽度の「叢生」を、マウスピース型矯正装置「インビザラインGO」で改善し、自然な歯並びにした症例


ご相談内容
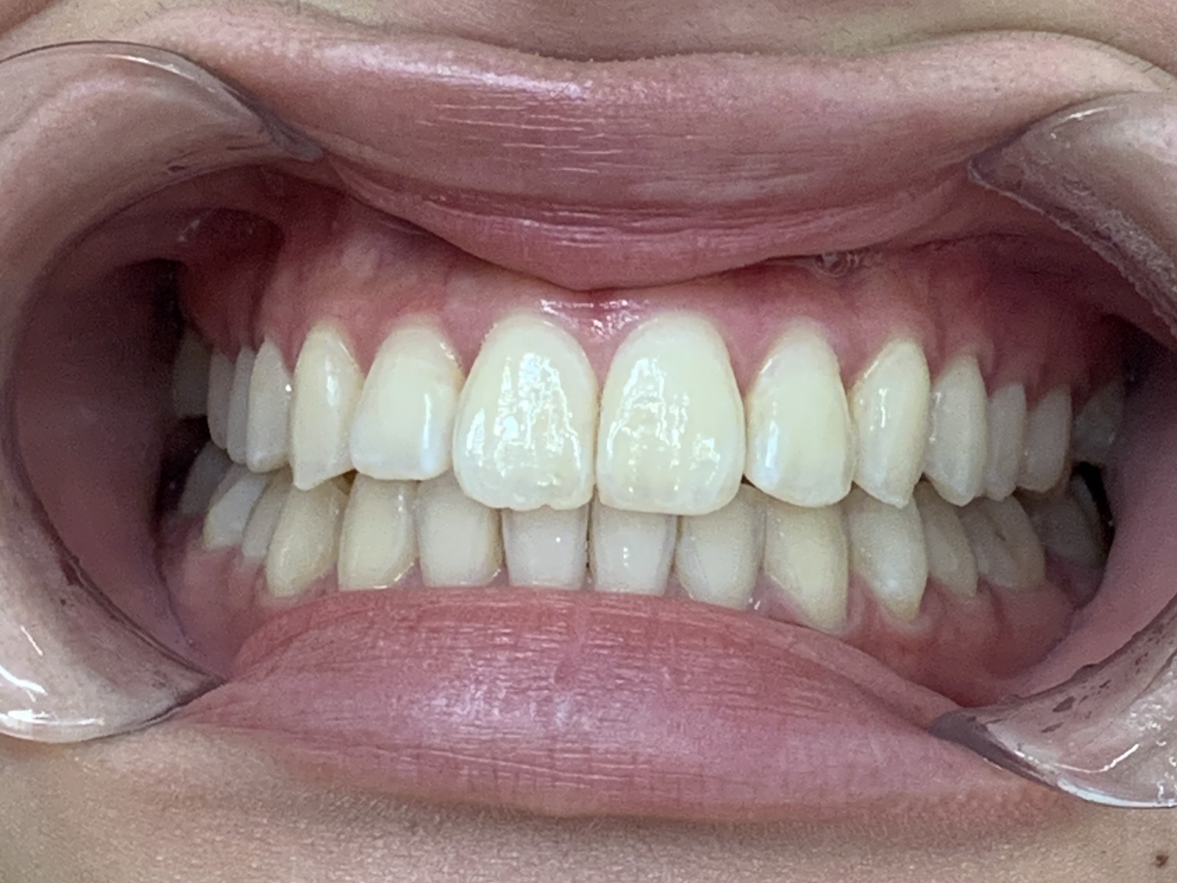
「前歯がガタガタしているのが気になる」とご相談いただきました。
カウンセリング・診断結果
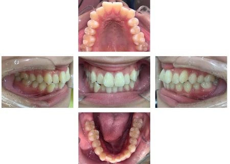
拝見したところ、歯が捻じれたり傾いたりして生えている軽度の「叢生(そうせい)」が上下の前歯に認められました。
奥歯の位置や噛み合わせを確認したところ、こちらは問題ありませんでした。
行ったご提案・治療内容
取り外し式のマウスピース型矯正装置「インビザラインGO」で、前歯の歯並びを整える治療をご提案しました。
奥歯の位置関係は正常だったため、前歯の矯正に特化したインビザラインGOで費用や期間を抑えて治療できることをご説明し、ご希望いただきました。
歯の捻じれがしっかり改善されるよう考慮してマウスピースを設計し、治療を進めました。
術後の経過・現在のご様子
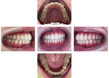
歯がまっすぐきれいに並び、自然な見た目になりました。
患者様にも「ずっと気になっていた歯並びが改善されて嬉しい」と非常にご満足いただきました。
現在も定期的なメンテナンスでご来院いただいております。
この治療のリスクについて
・決められたアライナーの装着時間を守らないと、次のアライナーに交換できず、治療が遅れたり十分な効果が得られない場合があります。
・歯を抜いた後に矯正する場合や、あごの骨格に問題がある場合など、マウスピース矯正に対応していない症例は、治療が困難な可能性もあります。
・治療による歯の移動に伴って、痛みや違和感を感じる場合があります。
・他の矯正治療と同様に、正しく歯磨きやメンテナンスを行わないと虫歯や歯周病のリスクが高まります。
- 年齢・性別10代女性
- 診療種別自由診療
- 治療期間の目安1年
治療費総額の目安425,000円
- 治療期間の目安1年


※掲載された情報は治療の効果を保証するものではありません。
ご利用により万一何らかの損害が発生したとしても、当サイトは一切責任を負いかねますのでご了承ください。








