
20代女性「歯並びがデコボコで、口が閉じにくい」抜歯によってできたスペースを活用し、マウスピース型矯正装置「インビザラインフル」ですっきりとした口元に改善した症例


ご相談内容
「歯並びがデコボコで、口が閉じにくい」とご相談いただきました。
カウンセリング・診断結果
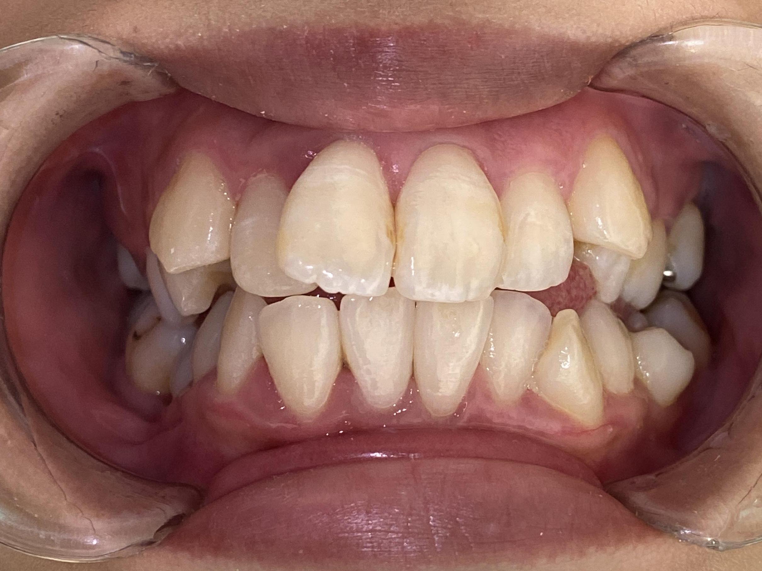
拝見したところ、主に上下左右の前歯12本(中切歯/1番、側切歯/2番、犬歯/3番)はデコボコに生えて重なり合う「叢生(そうせい)」でした。
上下前歯が前に飛び出ている「上下顎前突(じょうげがくぜんとつ)」も見られ、口が閉じにくくなる原因になっていました。
上下顎前突は「口ゴボ」と呼ばれることもある状態で、横から見た時の口元には突出感がありました。
また、デコボコな歯並びや前に飛び出していることで、前歯には上下がしっかりと噛み合える部分がない状態でした。
行ったご提案・治療内容
歯を動かすスペースを作るために、「便宜抜歯」が必要であることをご説明しました。
そのうえで、取り外し式のマウスピース型矯正装置「インビザラインフル」を使用して治療することをご提案しました。
インビザラインフルは、奥歯を含めたすべての歯を動かすことができる治療方法です。
抜歯によるスペースを活用して上下の歯をしっかりと後ろへ動かすことで、口が閉じやすくなることをご説明し、同意いただきました。
まず、上下左右の歯4本(第1小臼歯/4番)を抜歯しました。
順調に治療を進めるために、患者様には食事と歯磨きの時以外はマウスピースを装着するようご指導しました。
その後、突出感がなくなるようにしっかりと後ろへ歯を移動させながら、噛み合わせも改善するように治療に取り組みました。
術後の経過・現在のご様子
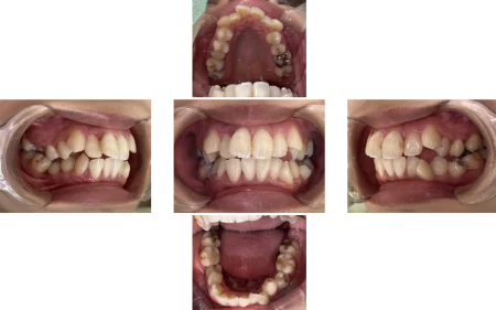
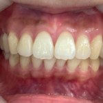
きれいなアーチ状の歯並びになり、正しい位置で噛み合うようになりました。
口元がすっきりして、容易に口が閉じられるようになり、口元の印象が非常によくなりました。
患者様は「口元を気にせず笑うことが増えた。口も閉じやすくなって良かった」と大変喜んでいただけました。
現在は、定期検診にて経過を確認しています。
この治療のリスクについて
・決められたアライナーの装着時間を守らないと、次のアライナーに交換できず、治療が遅れたり十分な効果が得られない場合があります。
・歯を抜いた後に矯正する場合や、あごの骨格に問題がある場合など、マウスピース矯正に対応していない症例は、治療が困難な可能性もあります。
・治療による歯の移動に伴って、痛みや違和感を感じる場合があります。
・他の矯正治療と同様に、正しく歯磨きやメンテナンスを行わないと虫歯や歯周病のリスクが高まります。
- 年齢・性別20代女性
- 診療種別自由診療
- 治療期間の目安2年
治療費総額の目安730,000円
- 治療期間の目安2年


※掲載された情報は治療の効果を保証するものではありません。
ご利用により万一何らかの損害が発生したとしても、当サイトは一切責任を負いかねますのでご了承ください。








