
20代女性「ガタガタした歯並びが気になる」重度に乱れていた歯並びをマウスピース矯正「インビザラインフル」で歯を抜かずに改善した症例


ご相談内容
「ガタガタした歯並びが気になる」とご相談いただきました。
カウンセリング・診断結果
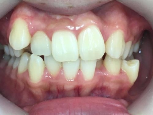
拝見すると、全体的に歯が前後に重なっている「叢生(そうせい)」でした。
患者様の場合は、正しい位置から歯が飛び出ていたり、真後ろから生えている歯があったため、重度の叢生でした。
このままの歯並びを放置すると、歯ブラシがうまく当たらず、虫歯や歯周病になるリスクがありました。
患者様にお話を伺うと「抜歯は絶対にしたくない」とご希望がありました。
行ったご提案・治療内容
歯を抜かずに歯並びを整えるために、奥歯を後ろに動かして前歯がきれいに並ぶスペースを作るマウスピース型の矯正装置「インビザラインフル」をご提案し、ご選択されました。
まず歯型をとり、患者様に合わせてカスタマイズされたマウスピースを製作しました。
マウスピース完成後、装着方法や時間、交換時期のスケジュール、お手入れ方法をご説明しました。
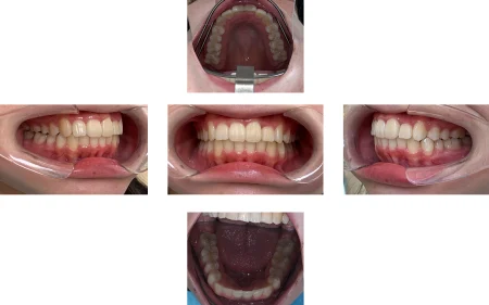
ご自身で管理していただきながら、定期的にご来院いただき、歯並びのチェックと叢生がしっかり治るように念入りに調整を行いました。
矯正治療終了後、歯が元の位置に戻る「後戻り」を防ぐための装置「リテーナー」のご使用をおすすめました。
術後の経過・現在のご様子
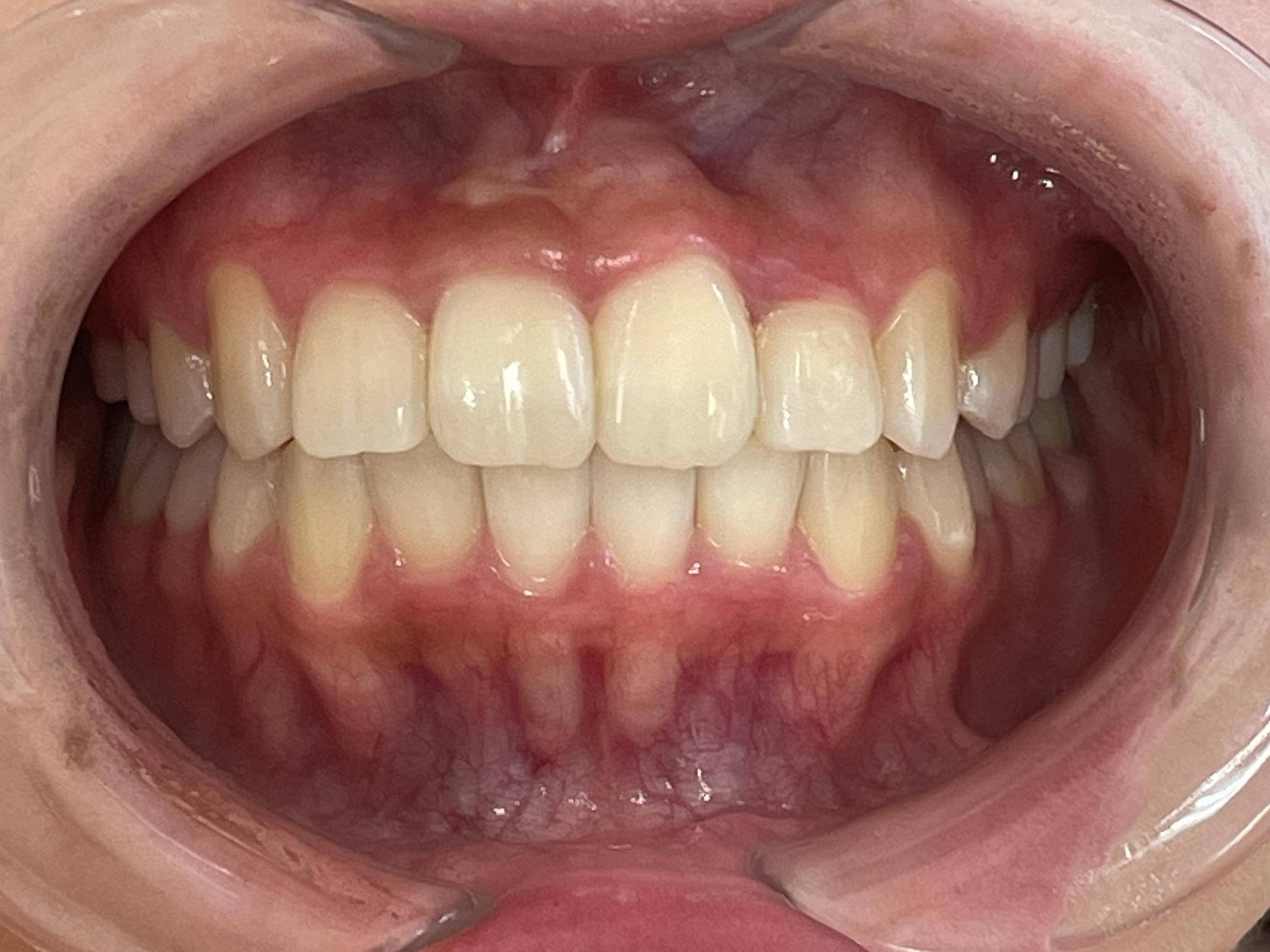
前後に重なり合っていた歯がきれいに並び、全体的にしっかり噛めるようになりました。
また、歯磨きもしやすくなったため、歯並びの悪さが引き起こす虫歯や歯周病のリスクが減りました。
患者様からは「歯を抜かずにガタガタの歯並びが治って嬉しい。何も気にせず笑えるようになった」と大変ご満足され、素敵な笑顔を見せていただけました。
現在、リテーナーをしっかりご使用いただき、定期検診でご通院されています。
この治療のリスクについて
・決められたアライナーの装着時間を守らないと、次のアライナーに交換できず、治療が遅れたり十分な効果が得られない場合があります。
・歯を抜いた後に矯正する場合や、あごの骨格に問題がある場合など、マウスピース矯正に対応していない症例は、治療が困難な可能性もあります。
・治療による歯の移動に伴って、痛みや違和感を感じる場合があります。
・他の矯正治療と同様に、正しく歯磨きやメンテナンスを行わないと虫歯や歯周病のリスクが高まります。
- 年齢・性別20代女性
- 診療種別自由診療
- 治療期間の目安2年5ヶ月
治療費総額の目安715,000円
- 治療期間の目安2年5ヶ月


※掲載された情報は治療の効果を保証するものではありません。
ご利用により万一何らかの損害が発生したとしても、当サイトは一切責任を負いかねますのでご了承ください。








