
10代女性「犬歯の噛み合わせが気になる」上下反対に噛み合っている「交叉咬合」を、マウスピース型矯正装置「インビザラインGO」で正しい噛み合わせに改善した症例


ご相談内容
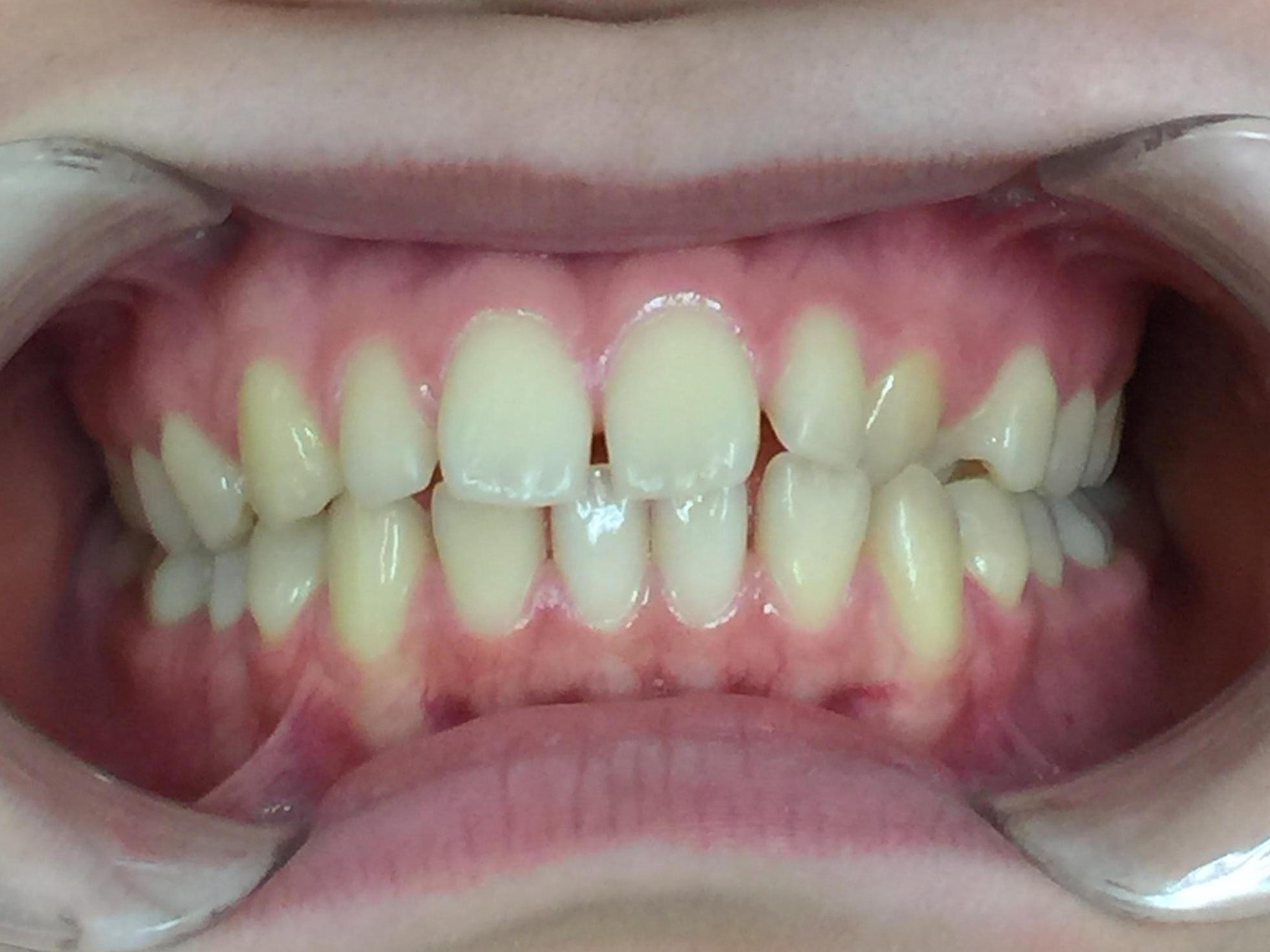
「左の犬歯の噛み合わせが反対になっていて気になる」と、ご相談いただきました。
カウンセリング・診断結果
拝見すると、左上下の前歯(犬歯/3番)が上下反対に噛み合う「交叉咬合(クロスバイト)」で、噛み合わせが悪くなっていました。
また、奥歯の噛み合わせに問題はありませんでした。
患者様からは「短期間で治療をしてほしい」とご希望がありました。
行ったご提案・治療内容
噛み合わせを改善するために、取り外し式のマウスピース型矯正装置「インビザラインGO」を選択しました。
インビザラインGOは、前歯のみを部分的に動かす装置で、治療期間や費用を抑えることができます。
上下の噛み合わせを微調整しながら、治療を行いました。
術後の経過・現在のご様子
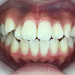
歯が正しい位置に並び、噛み合わせも改善しました。
患者様にも「1年もかからずきれいな噛み合わせになって嬉しい」と大変ご満足いただきました。
現在は定期検診でご来院いただき、経過を観察しています。
この治療のリスクについて
・決められたアライナーの装着時間を守らないと、次のアライナーに交換できず、治療が遅れたり十分な効果が得られない場合があります。
・歯を抜いた後に矯正する場合や、あごの骨格に問題がある場合など、マウスピース矯正に対応していない症例は、治療が困難な可能性もあります。
・治療による歯の移動に伴って、痛みや違和感を感じる場合があります。
・他の矯正治療と同様に、正しく歯磨きやメンテナンスを行わないと虫歯や歯周病のリスクが高まります。
- 年齢・性別10代女性
- 診療種別自由診療
- 治療期間の目安7か月
治療費総額の目安435,000円
- 治療期間の目安7か月


※掲載された情報は治療の効果を保証するものではありません。
ご利用により万一何らかの損害が発生したとしても、当サイトは一切責任を負いかねますのでご了承ください。








