インビザライン治療 症例

40代女性「デコボコな歯並びが気になる」マウスピース型矯正装置「インビザラインフル」と歯と歯の間を削る「IPR」で、歯を抜かずに歯並びをきれいに改善した症例

ご相談内容

「デコボコな歯並びが気になる」とご相談いただきました。

カウンセリング・診断結果

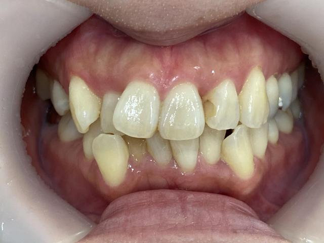
拝見したところ、上下の歯は、前歯だけでなく奥歯までデコボコに並ぶ重度の「叢生(そうせい)」でした。
奥歯で噛み合わせた時、下左右の前歯(犬歯/3番)は上の前歯より前で噛む「交叉咬合」も見られました。

患者様は「歯を抜かずに治療をしたい」とご希望でした。

行ったご提案・治療内容

取り外し式のマウスピース型矯正装置「インビザラインフル」での治療をご提案しました。
インビザラインフルは、奥歯を含めたすべての歯を動かすことができるため、抜歯をせずに治療が行えることをご説明しました。
また、歯を動かすためのスペースが必要なため、問題のない範囲内で歯と歯の間を削る「IPR」を行うことも併せてご説明し、同意をいただきました。

順調に治療を進めるために、患者様には食事と歯磨きの時以外はマウスピースを装着するようご指導しました。

上下の歯の中心「正中」を合わせながらきれいに歯を並べ、噛み合わせも改善するよう慎重に治療を行いました。

術後の経過・現在のご様子

とてもきれいな歯並びになりました。
噛み合わせも改善し、正しい位置で噛めるようになりました。
患者様には「希望通りに治療が行えて、ここまできれいになって嬉しい」と大変満足いただけました。

現在は、定期検診にて歯並びの後戻りなどの確認を行っています。

この治療のリスクについて

・決められたアライナーの装着時間を守らないと、次のアライナーに交換できず、治療が遅れたり十分な効果が得られない場合があります。
・歯を抜いた後に矯正する場合や、あごの骨格に問題がある場合など、マウスピース矯正に対応していない症例は、治療が困難な可能性もあります。
・治療による歯の移動に伴って、痛みや違和感を感じる場合があります。
・他の矯正治療と同様に、正しく歯磨きやメンテナンスを行わないと虫歯や歯周病のリスクが高まります。

  1. 年齢・性別40代女性
  2. 診療種別自由診療
    1. 治療期間の目安2年5ヶ月
      治療費総額の目安715,000円

※掲載された情報は治療の効果を保証するものではありません。
ご利用により万一何らかの損害が発生したとしても、当サイトは一切責任を負いかねますのでご了承ください。

PC・スマホでかんたんインターネット予約
三井アウトレットパークバス停徒歩5分 本院ご予約
高速出口すぐそばのショッピングモール内 大曲医院ご予約
札幌中心街、チカホから直結のmoyuk2F moyuk Sapporo院ご予約
オススメの関連記事