
10代男性「八重歯が気になる」外側に生えている犬歯と深い噛み合わせ「過蓋咬合」を、マウスピース型矯正装置「インビザラインフル」で美しい歯並びに改善した症例


ご相談内容
「八重歯が気になる」と、ご相談いただきました。
カウンセリング・診断結果
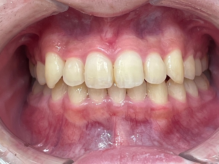
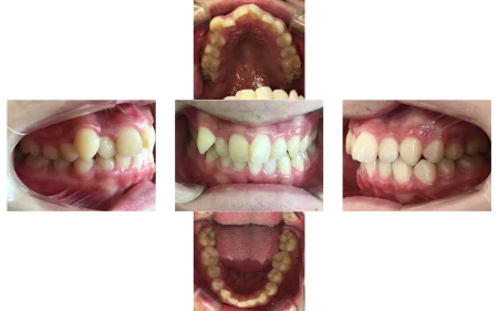
拝見したところ、右上の前歯(犬歯/3番)が唇側に飛び出して生えており、「八重歯」になっていました。
また、上の歯が下の歯に深く被さっている「過蓋咬合(かがいこうごう)」も認められ、噛み合わせが悪くなっていました。
行ったご提案・治療内容
歯並びを整え、噛み合わせを改善するために、取り外し式のマウスピース型矯正装置「インビザラインフル」を選択しました。
インビザラインフルは、前歯から奥歯まで全ての歯を動かすことで、抜歯をせずに歯並びを整えることができます。
また、正しい位置で噛めるよう、噛み合わせを確認しながら治療を行いました。
術後の経過・現在のご様子
歯が正しい位置に並び、お口全体でしっかり噛めるようになりました。
患者様にも「歯並びがきれいになったことで、オシャレをすることが楽しくなった」と大変お喜びいただきました。
現在は定期検診でご来院いただき、経過を観察しています。
この治療のリスクについて
・決められたアライナーの装着時間を守らないと、次のアライナーに交換できず、治療が遅れたり十分な効果が得られない場合があります。
・歯を抜いた後に矯正する場合や、あごの骨格に問題がある場合など、マウスピース矯正に対応していない症例は、治療が困難な可能性もあります。
・治療による歯の移動に伴って、痛みや違和感を感じる場合があります。
・他の矯正治療と同様に、正しく歯磨きやメンテナンスを行わないと虫歯や歯周病のリスクが高まります。
- 年齢・性別10代男性
- 診療種別自由診療
- 治療期間の目安1年7ヶ月
治療費総額の目安665,000円
- 治療期間の目安1年7ヶ月


※掲載された情報は治療の効果を保証するものではありません。
ご利用により万一何らかの損害が発生したとしても、当サイトは一切責任を負いかねますのでご了承ください。








