
20代女性「前歯が出ている」ワイヤー矯正の後戻りで前方に出ていた前歯を、マウスピース型矯正装置「インビザラインGO」で、美しい歯並びに改善した症例


ご相談内容
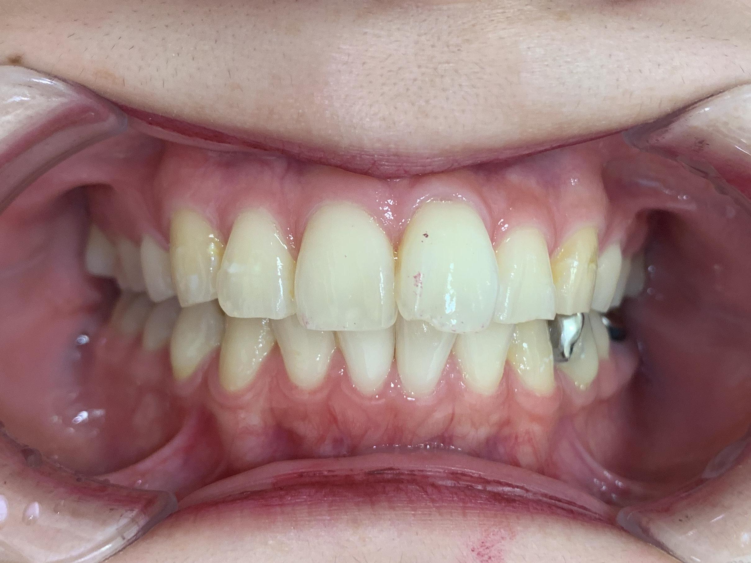
「前歯が出ている感じが気になる」と、ご相談いただきました。
カウンセリング・診断結果
拝見すると、左上の前歯(中切歯/1番)が前方に突出しており、歯が重なり合って生えている「叢生(そうせい)」でした。
叢生になった原因として、「ワイヤー矯正」の後戻りが考えられました。
行ったご提案・治療内容
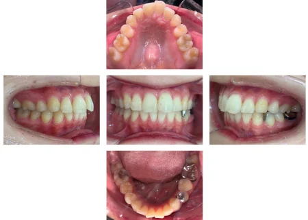
叢生が軽度で、奥歯の噛み合わせと歯並びに問題がなかったことから、前歯のみを移動させる取り外し式のマウスピース型矯正装置「インビザラインGO」をご提案し、同意いただきました。
上下の前歯が強く当たりすぎないよう、噛み合わせを確認しながら治療を行いました。
術後の経過・現在のご様子
前歯が正しい位置に並び、美しい口元になりました。
患者様にも「きれいな歯並びになって嬉しい」と、大変お喜びいただきました。
現在は定期検診でご来院いただき、経過を観察しています。
この治療のリスクについて
・決められたアライナーの装着時間を守らないと、次のアライナーに交換できず、治療が遅れたり十分な効果が得られない場合があります。
・歯を抜いた後に矯正する場合や、あごの骨格に問題がある場合など、マウスピース矯正に対応していない症例は、治療が困難な可能性もあります。
・治療による歯の移動に伴って、痛みや違和感を感じる場合があります。
・他の矯正治療と同様に、正しく歯磨きやメンテナンスを行わないと虫歯や歯周病のリスクが高まります。
- 年齢・性別20代女性
- 診療種別自由診療
- 治療期間の目安5ヶ月
治療費総額の目安425,000円
- 治療期間の目安5ヶ月


※掲載された情報は治療の効果を保証するものではありません。
ご利用により万一何らかの損害が発生したとしても、当サイトは一切責任を負いかねますのでご了承ください。








