
40代男性「上の前歯がねじれている」乱れた前歯の歯並びを、マウスピース型矯正装置「インビザラインGO」で治療し自然な口元にした症例


ご相談内容
「上の前歯がねじれているのが気になる」とご相談いただきました。
カウンセリング・診断結果
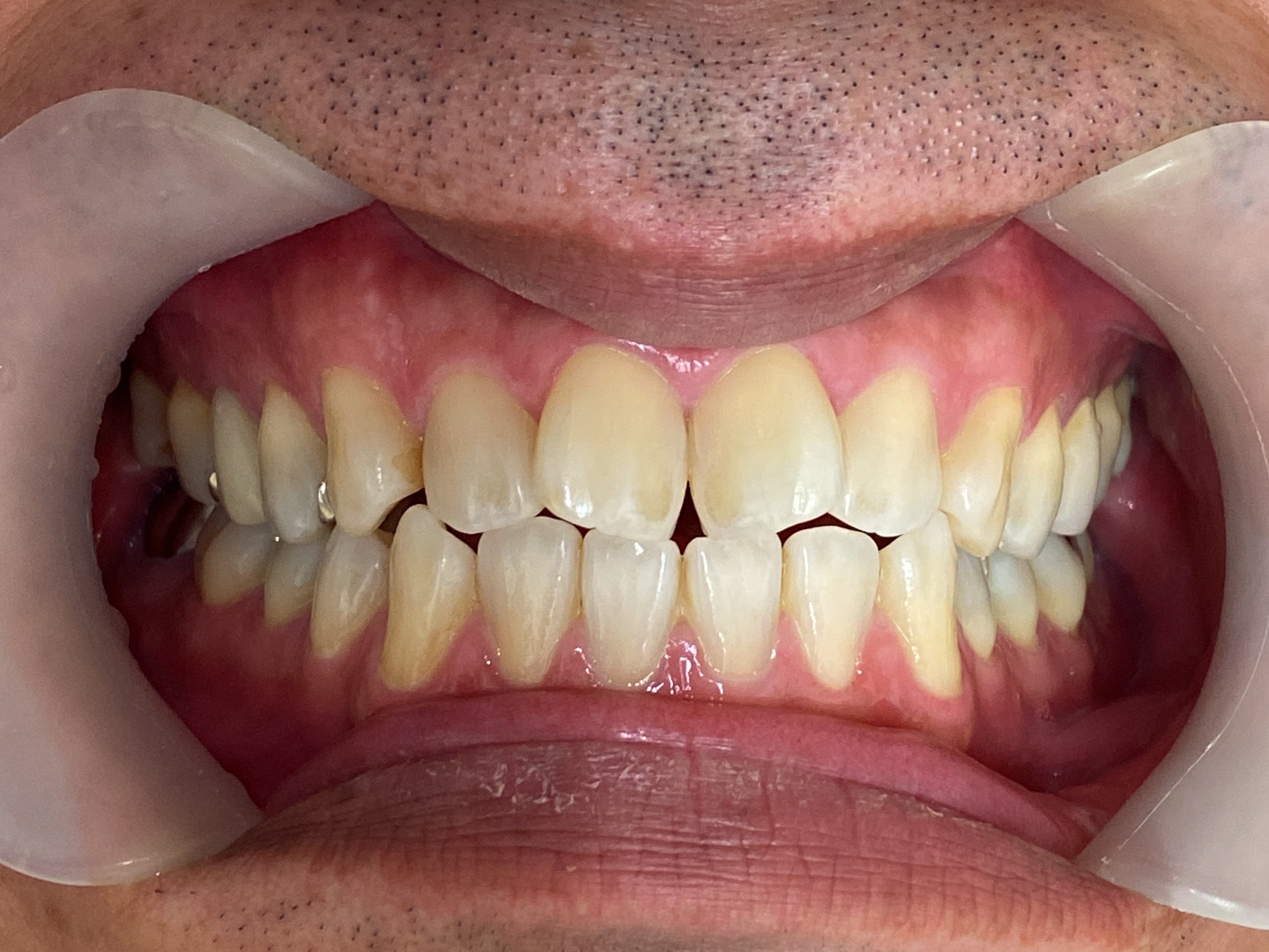
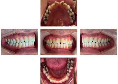
拝見したところ、上の前歯2本(左右中切歯/1番)が左右対称にねじれて生えている「上顎前歯翼状捻転(じょうがくぜんしよくじょうねんてん)」が認められました。
前歯がねじれているため、歯の裏側に歯ブラシが届きにくくなっており、十分に清掃することが難しい状態でした。
奥歯の噛み合わせを確認したところ、奥歯は適切な位置で噛み合っており、問題ありませんでした。
行ったご提案・治療内容
取り外し式のマウスピース型矯正装置「インビザラインGO」で、前歯のみを動かして歯並びを整える治療をご提案し、同意いただきました。
インビザラインGOは、患者様専用のマウスピースを作製し、定期的に交換することで歯を動かす矯正治療です。
前歯のねじれがスムーズに改善されるようにマウスピースを設計し、食事と歯磨きの時以外は装着していただくようご指導しました。
術後の経過・現在のご様子
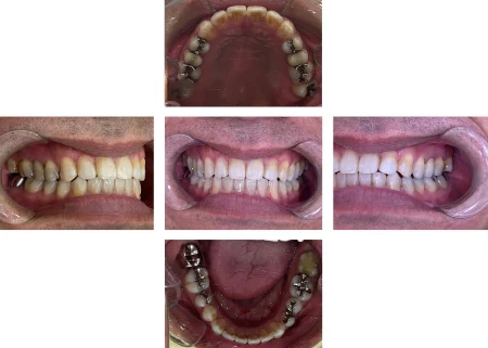
前歯が適切な角度になり、自然な歯並びになりました。
患者様にも「口元を気にせず笑えるようになった。歯磨きもしやすくなり嬉しい」と大変お喜びいただきました。
治療終了後、他にも気になるところがあるということで再度矯正を行い、その結果にもご満足いただいています。
この治療のリスクについて
・決められたアライナーの装着時間を守らないと、次のアライナーに交換できず、治療が遅れたり十分な効果が得られない場合があります。
・歯を抜いた後に矯正する場合や、あごの骨格に問題がある場合など、マウスピース矯正に対応していない症例は、治療が困難な可能性もあります。
・治療による歯の移動に伴って、痛みや違和感を感じる場合があります。
・他の矯正治療と同様に、正しく歯磨きやメンテナンスを行わないと虫歯や歯周病のリスクが高まります。
- 年齢・性別40代男性
- 診療種別自由診療
- 治療期間の目安1年4ヶ月
治療費総額の目安425,000円
- 治療期間の目安1年4ヶ月


※掲載された情報は治療の効果を保証するものではありません。
ご利用により万一何らかの損害が発生したとしても、当サイトは一切責任を負いかねますのでご了承ください。








