
30代女性「前歯がガタガタしていて上手く噛めない」歯並びの乱れ「叢生」を、マウスピース型矯正装置「インビザラインGO」で前歯のみを動かして改善させ、しっかり噛めるようにした症例


ご相談内容
「前歯がガタガタしているのが気になる。前歯で上手く噛めない」とご相談いただきました。
カウンセリング・診断結果
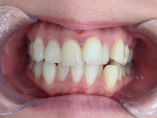
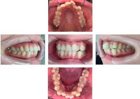
拝見したところ、歯が重なり合って生えている「叢生(そうせい)」が上下の前歯を中心に認められました。
噛み合わせも悪くなっており、前歯で食べ物を噛み切ることが難しい状態でした。
奥歯の噛み合わせを確認したところ、上下の位置関係は問題ありませんでした。
行ったご提案・治療内容
取り外し式のマウスピース型矯正装置「インビザラインGO」で前歯の歯並びを整える治療をご提案しました。
叢生が前歯に限局していたため、前歯の移動に特化したインビザラインGOで奥歯を動かさずに治療可能であることをご説明し、同意いただきました。
前歯のみを動かす矯正治療としては移動量が多かったため、歯の移動が計画通りに進められているかを細かく確認しながら治療を進めました。
術後の経過・現在のご様子
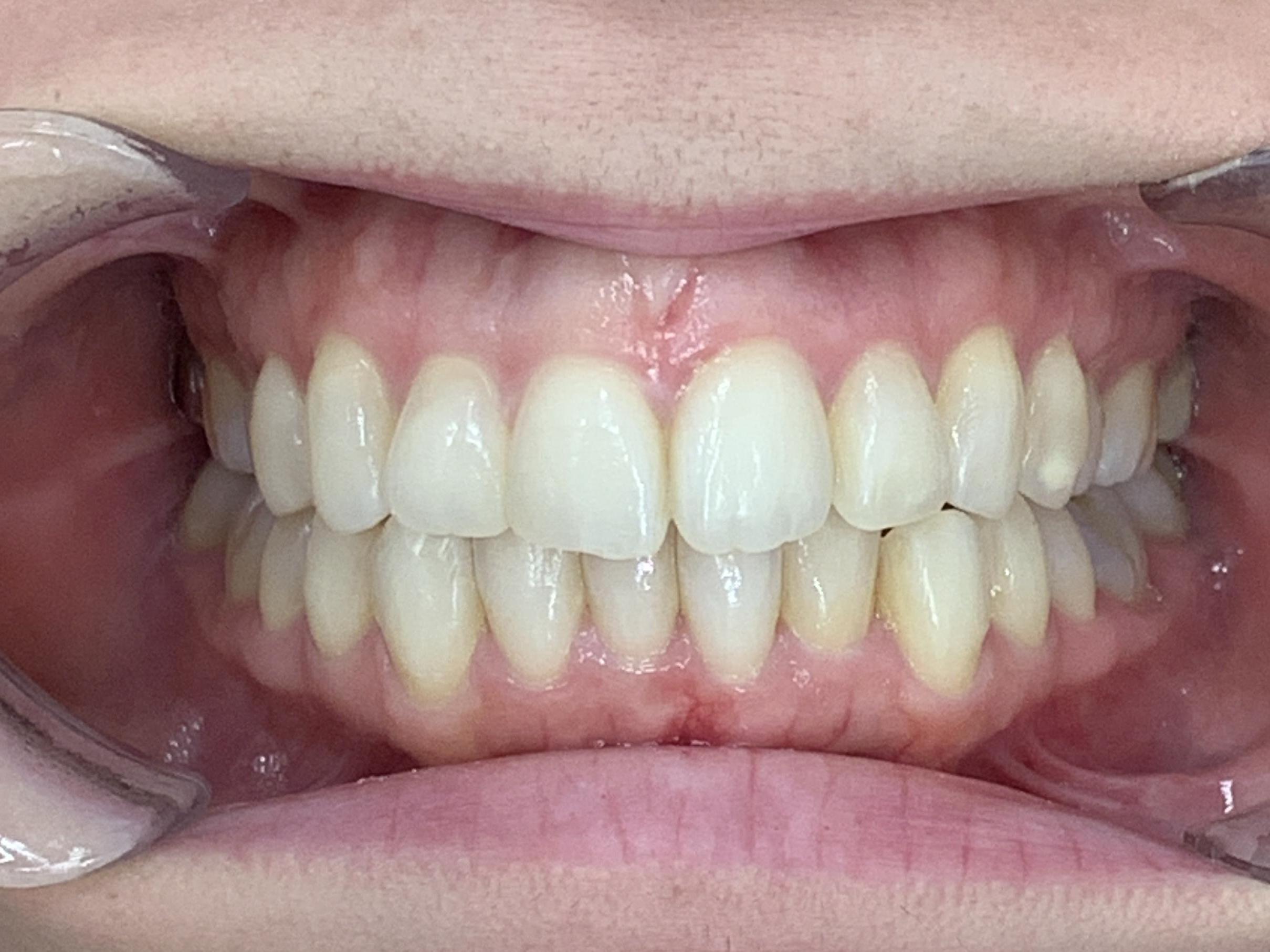
上下の前歯が理想的なアーチを描いて並び、全体の歯でしっかり噛めるようになりました。
患者様にも「前歯で食べ物を噛めるようになり、食事がしやすくなった」と大変ご満足いただきました。
現在も定期的な検診でご来院いただき、きれいな歯並びを維持しておられます。
この治療のリスクについて
・決められたアライナーの装着時間を守らないと、次のアライナーに交換できず、治療が遅れたり十分な効果が得られない場合があります。
・歯を抜いた後に矯正する場合や、あごの骨格に問題がある場合など、マウスピース矯正に対応していない症例は、治療が困難な可能性もあります。
・治療による歯の移動に伴って、痛みや違和感を感じる場合があります。
・他の矯正治療と同様に、正しく歯磨きやメンテナンスを行わないと虫歯や歯周病のリスクが高まります。
- 年齢・性別30代女性
- 診療種別自由診療
- 治療期間の目安8ヶ月
治療費総額の目安435,000円
- 治療期間の目安8ヶ月


※掲載された情報は治療の効果を保証するものではありません。
ご利用により万一何らかの損害が発生したとしても、当サイトは一切責任を負いかねますのでご了承ください。








