
40代女性「歯並びが気になる」歯が前方に出ている「上顎前突」とデコボコに生えている「叢生」を、マウスピース型矯正装置「インビザラインフル」で美しい口元に改善した症例


ご相談内容
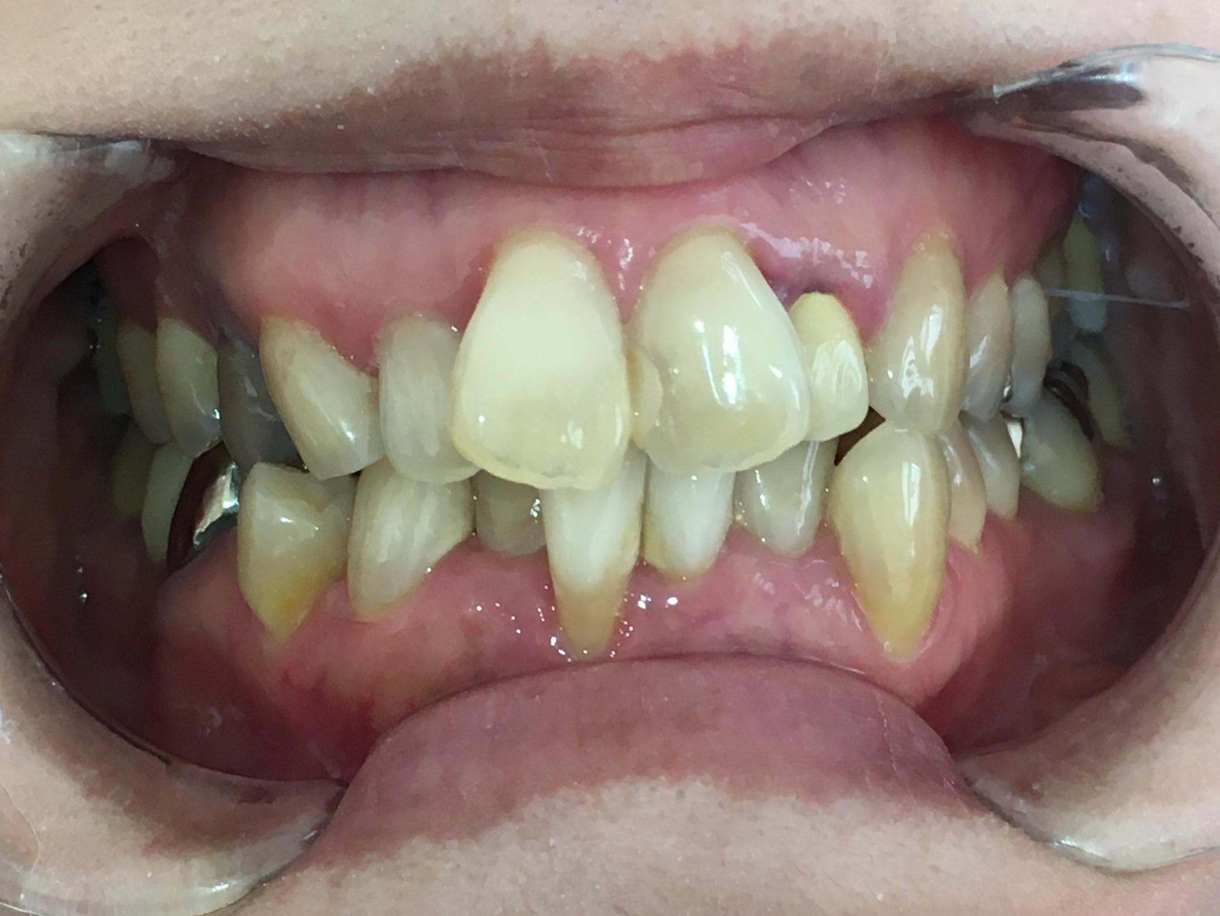
「歯並びが気になる。特に上の前歯が出ている気がする」と、ご相談いただきました。
カウンセリング・診断結果
拝見すると、上の前歯が前方に出ている「上顎前突(じょうがくぜんとつ)」でした。
さらに、下左右の前歯6本(中切歯/1番、側切歯/2番、犬歯/3番)は、歯が重なり合って生えている「叢生(そうせい)」で、噛み合わせも悪くなっていました。
また、歯を支えている骨「歯槽骨」が減退する「歯周病」も認められました。
行ったご提案・治療内容
叢生を改善させるために、右下の前歯(中切歯)を抜歯してスペースを作る必要があることをご説明し、同意いただきました。
そして、歯並びを整えるために、取り外し式のマウスピース型矯正装置「インビザラインフル」を選択しました。
インビザラインフルは、前歯から奥歯まで全ての歯を動かすことができます。
歯を動かす際には、歯周病が悪化しないよう配慮しながら治療を行いました。
術後の経過・現在のご様子
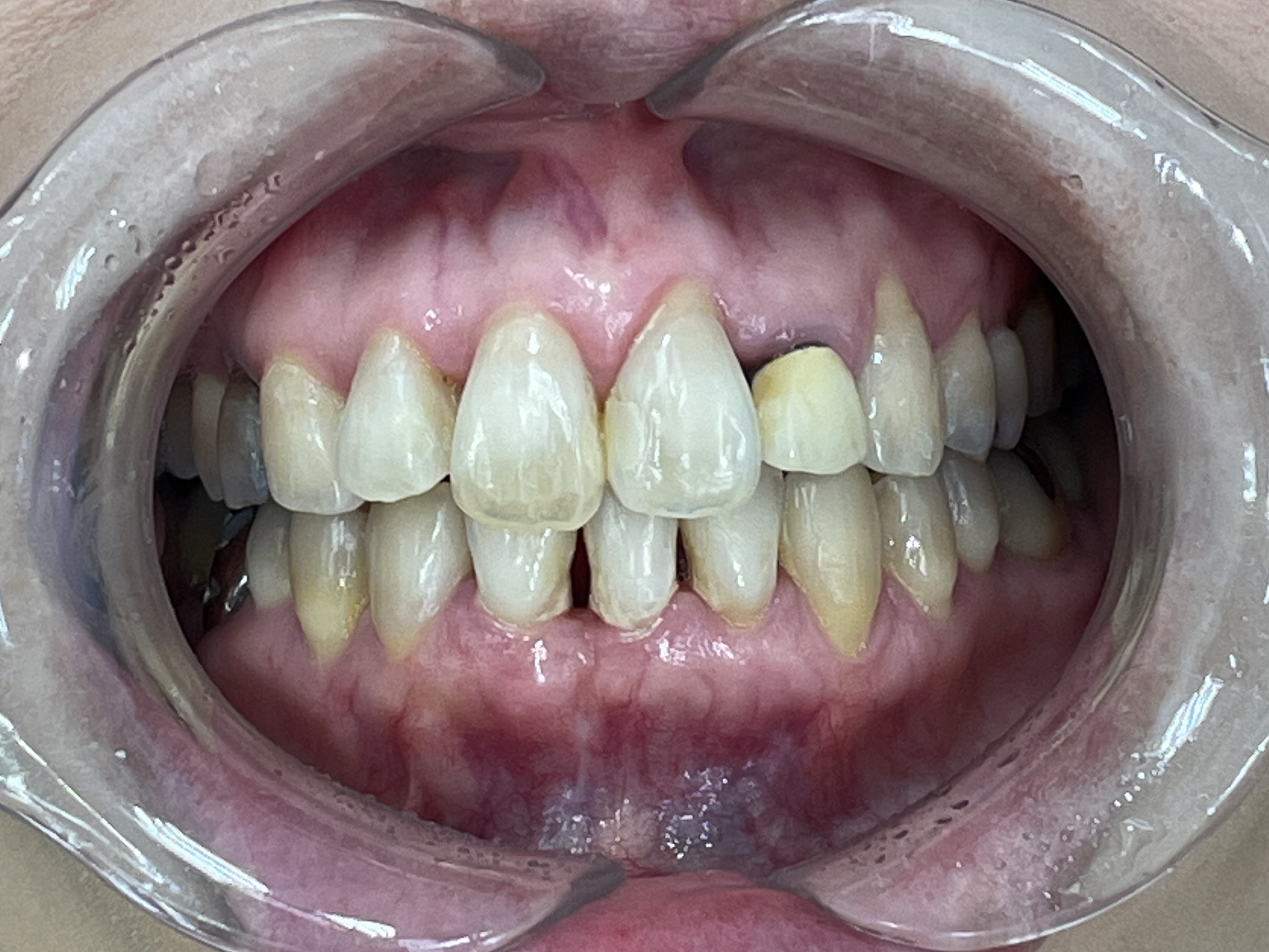
歯が正しい位置に並び、噛み合わせも改善しました。
患者様にも「きれいな歯並びになって嬉しい。歯磨きもしやすくなった」と大変お喜びいただきました。
現在は定期検診でご来院いただき、経過を観察しています。
この治療のリスクについて
・決められたアライナーの装着時間を守らないと、次のアライナーに交換できず、治療が遅れたり十分な効果が得られない場合があります。
・歯を抜いた後に矯正する場合や、あごの骨格に問題がある場合など、マウスピース矯正に対応していない症例は、治療が困難な可能性もあります。
・治療による歯の移動に伴って、痛みや違和感を感じる場合があります。
・他の矯正治療と同様に、正しく歯磨きやメンテナンスを行わないと虫歯や歯周病のリスクが高まります。
- 年齢・性別40代女性
- 診療種別自由診療
- 治療期間の目安2年5ヶ月
治療費総額の目安690,000円
- 治療期間の目安2年5ヶ月


※掲載された情報は治療の効果を保証するものではありません。
ご利用により万一何らかの損害が発生したとしても、当サイトは一切責任を負いかねますのでご了承ください。








