
30代男性「意識して鏡を見ると歯の黄ばみが気になる」自宅で行う「ホームホワイトニング」と歯科医院で行う「オフィスホワイトニング」を併用し、全体的に歯を白くした症例


ご相談内容
「意識して鏡を見ると歯の黄ばみが気になる」とご相談いただきました。
カウンセリング・診断結果
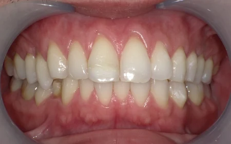
拝見したところ、全体的に歯の黄ばみが見られました。
特に上下左右の前歯(犬歯/3番)は、黄ばみが強く見られました。
行ったご提案・治療内容
患者様と相談して一緒に決めた目標の歯の白さにするため、自宅で行う「ホームホワイトニング」と歯科医院で行う「オフィスホワイトニング」を併用した「デュアルホワイトニング」をご提案し、同意をいただきました。
オフィスホワイトニングでは、歯の表面に薬剤を塗って光を当て、歯を白くしました。
ホームホワイトニングは、患者様の歯型をとって作ったトレーにジェルを入れて歯に装着し、歯を白くしました。
術後の経過・現在のご様子
目標の歯の白さになり、明るい印象の口元になりました。
特に黄ばみが強かった犬歯も、周りの歯と同等の白さになりました。
患者様には「自分でも白くなったと感じる」と大変満足いただけました。
現在は、定期的にメンテナンスでご来院されています。
この治療のリスクについて
個人差がありますが、治療中や治療後に歯がしみる場合があります。
- 年齢・性別30代男性
- 診療種別自由診療
- 治療期間の目安2ヶ月
- 《内訳》
- デュアルホワイトニング 98,000円
- 治療期間の目安2ヶ月
※掲載された情報は治療の効果を保証するものではありません。
ご利用により万一何らかの損害が発生したとしても、当サイトは一切責任を負いかねますのでご了承ください。








