セラミック 症例

40代女性「ブリッジの隙間が気になって話しにくい」歯ぐきに密着した被せ物「オベイドポンティックセラミックブリッジ」を入れ、発音障害を改善した症例

ご相談内容

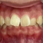
「左上のブリッジの隙間が気になって話しにくい」とご相談いただきました。

カウンセリング・診断結果

拝見すると、左上の前歯(側切歯/2番)が欠損しており、両隣の歯(中切歯/1番、犬歯/3番)を土台にして欠損部に人工歯「ポンティック」を繋げている被せ物「ブリッジ」が入っていました。

ポンティックと歯ぐきとの間に隙間があり、息が漏れるため発音障害を起こしていました。

行ったご提案・治療内容

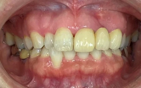
歯ぐきとポンティックの間の隙間をなくすために、歯ぐきの形を整えた後、変色せず天然の歯が生えているようなポンティックを橋渡しする白い被せ物「オベイドポンティックセラミックブリッジ」を作り直す治療をご提案しました。

まず、今まで入っていたブリッジを除去し、歯ぐきを卵円形「オベイド」になるよう一部トリミングを行いました。
その日のうちに仮歯を入れ、歯ぐきの回復を待ちました。

歯ぐきの形が落ち着いた後、ブリッジの土台の歯を削り直し、最終的な被せ物の型取りを行ってから、ポンティックが歯ぐきに密着するよう装着しました。

術後の経過・現在のご様子

歯ぐきとポンティックが密着し、隙間がなくなったため、しっかり発音ができるようになりました。

患者様からは「隙間がなくなり息が漏れなくなったので、何も気にせず話せるようになった」と大変ご満足いただけました。

現在、ブリッジは問題なくお使いいただき、発音障害もみられません。
継続して定期検診にご通院いただいております。

この治療のリスクについて

個人差がありますが、治療中や治療後に歯がしみる場合があります。

  1. 年齢・性別40代女性
  2. 診療種別自由診療
    1. 治療期間の目安4回
    2. 《治療費》
    3. 297,900円

※掲載された情報は治療の効果を保証するものではありません。
ご利用により万一何らかの損害が発生したとしても、当サイトは一切責任を負いかねますのでご了承ください。

PC・スマホでかんたんインターネット予約
三井アウトレットパークバス停徒歩5分 本院ご予約
高速出口すぐそばのショッピングモール内 大曲医院ご予約
札幌中心街、チカホから直結のmoyuk2F moyuk Sapporo院ご予約
オススメの関連記事