インビザライン治療GO 症例

20代女性「前歯のガタガタが気になる」歯が重なり合って生えている「叢生」を、前歯のみを動かせる「インビザラインGO」で歯を抜かずに治療し、理想の歯並びを実現した症例

ご相談内容

「前歯のガタガタが気になる」とご相談いただきました。

カウンセリング・診断結果

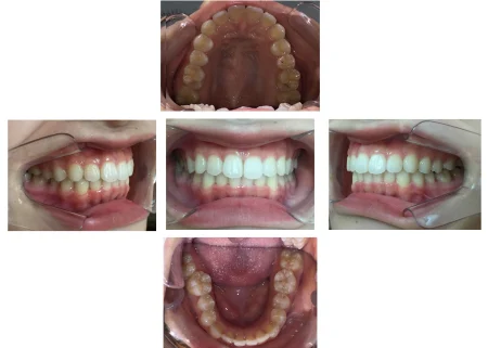
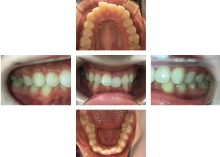
拝見したところ、歯が正常な位置からずれたり傾いたりして生えている「叢生(そうせい)」が、上下の前歯を中心に認められました。
特に右上の前歯(中切歯/1番)はねじれが大きく、前方に突出していました。

歯が重なり合っている部分は歯ブラシが届きにくいため、将来的な虫歯や歯周病などのリスクも高まっていました。

行ったご提案・治療内容

取り外し式のマウスピース型矯正装置で歯並びを整える治療をご提案し、同意いただきました。

マウスピースの種類は、全体の歯並びを整える「インビザラインフル」と、前歯のみの矯正治療に特化した「インビザラインGO」の2つをご案内しました。
インビザラインフルの場合、残っている親知らずを抜歯してスペースを作ってから歯を動かす治療計画になることをご説明したところ、患者様は「抜歯せずに前歯だけ治療したい」とご希望され、インビザラインGOをご選択いただきました。

治療の際は、歯と歯の間を僅かに削ってスペースを確保する「IPR」をしっかり行い、重なり合った前歯を改善していきました。

術後の経過・現在のご様子

前歯がまっすぐ並び、見た目も自然な仕上がりになりました。
患者様にも「短期間で歯を抜かずに治療できて良かった」と大変ご満足いただきました。

矯正治療後は薬液を使用して歯を白くする「ホワイトニング」も行い、白い歯と美しい歯並びが実現してさらにきれいな口元になりました。

この治療のリスクについて

・決められたアライナーの装着時間を守らないと、次のアライナーに交換できず、治療が遅れたり十分な効果が得られない場合があります。
・歯を抜いた後に矯正する場合や、あごの骨格に問題がある場合など、マウスピース矯正に対応していない症例は、治療が困難な可能性もあります。
・治療による歯の移動に伴って、痛みや違和感を感じる場合があります。
・他の矯正治療と同様に、正しく歯磨きやメンテナンスを行わないと虫歯や歯周病のリスクが高まります。

  1. 年齢・性別20代女性
  2. 診療種別自由診療
    1. 治療期間の目安1年未満
      治療費総額の目安430,000円

※掲載された情報は治療の効果を保証するものではありません。
ご利用により万一何らかの損害が発生したとしても、当サイトは一切責任を負いかねますのでご了承ください。

PC・スマホでかんたんインターネット予約
三井アウトレットパークバス停徒歩5分 本院ご予約
高速出口すぐそばのショッピングモール内 大曲医院ご予約
札幌中心街、チカホから直結のmoyuk2F moyuk Sapporo院ご予約
オススメの関連記事