
30代女性「上の前歯の捻れが気になる」前歯を動かすことに特化したマウスピース型矯正装置「インビザラインGO」で抜歯をせずにきれいな歯並びへ改善した症例


ご相談内容
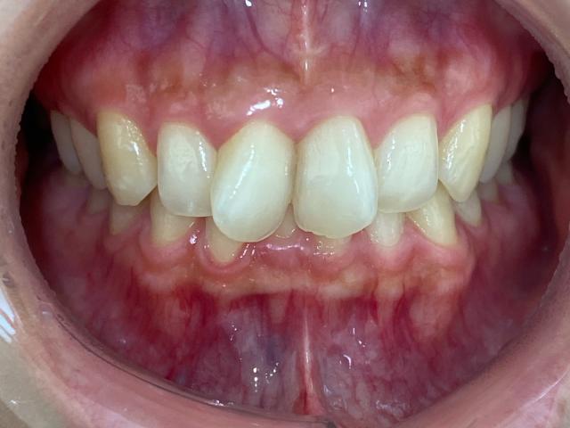
「上の前歯の捻れが気になる」とご相談いただきました。
カウンセリング・診断結果
拝見したところ、上左右の前歯(中切歯/1番)はスペース不足のため歯が捻れて生える「捻転」が見られました。
また、上左右の前歯は横から見た時に少し前に出ている「上顎前突(出っ歯)」の状態でもありました。
下の前歯4本(中切歯、側切歯/2番)は、デコボコに並ぶ「叢生(そうせい)」がやや認められました。
奥歯の噛み合わせは特に問題のない状態でした。
行ったご提案・治療内容
取り外しができるマウスピース型矯正装置「インビザラインGO」での治療をご提案しました。
歯並びの乱れが前歯のみのため、前歯を動かすことに特化したインビザラインGOで抜歯をせずに治療できることをご説明し、同意をいただきました。
順調に治療を進めるために、患者様には食事と歯磨きの時以外はマウスピースを装着していただくよう指導しました。
術後の経過・現在のご様子
途中半年ほど中断期間がありましたが、上下前歯はきれいな歯並びになりました。
横から見た時の出っ歯感もなくなり、噛み合わせも問題なく、経過は順調です。
患者様からは「歯の捻れが改善されて、気にせず笑えるようになりました」と大変喜んでいただけました。
現在は、ホワイトニングを始められ、メンテナンスでも定期的にご来院いただいています。
この治療のリスクについて
・決められたアライナーの装着時間を守らないと、次のアライナーに交換できず、治療が遅れたり十分な効果が得られない場合があります。
・歯を抜いた後に矯正する場合や、あごの骨格に問題がある場合など、マウスピース矯正に対応していない症例は、治療が困難な可能性もあります。
・治療による歯の移動に伴って、痛みや違和感を感じる場合があります。
・他の矯正治療と同様に、正しく歯磨きやメンテナンスを行わないと虫歯や歯周病のリスクが高まります。
- 年齢・性別30代女性
- 診療種別自由診療
- 治療期間の目安2年半
治療費総額の目安570,000円
- 治療期間の目安2年半


※掲載された情報は治療の効果を保証するものではありません。
ご利用により万一何らかの損害が発生したとしても、当サイトは一切責任を負いかねますのでご了承ください。








