
30代男性「噛み合わせが深く、下の前歯が1本だけ前に出ていて気になる」奥歯から歯を動かして前歯を並べるスペースを作る「インビザラインフル」で歯並びと噛み合わせを改善した症例


ご相談内容
「噛み合わせが深く、下の前歯が1本だけ前に出ていて気になる」とご相談いただきました。
カウンセリング・診断結果
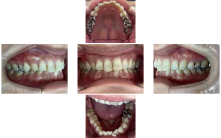
拝見したところ、左下の前歯(中切歯/1番)は歯の並び「歯列」から前に飛び出し、デコボコに並ぶ「叢生(そうせい)」が見られました。
また、上下の歯を噛み合わせた時に、上の前歯が覆いかぶさって下の前歯が見えなくなる深い噛み合わせ「過蓋咬合」でした。
診察の結果、歯を動かすスペースがあり、歯を抜かずに治療できると判断しました。
行ったご提案・治療内容
取り外しができるマウスピース型矯正装置「インビザラインフル」での歯並びの治療をご提案しました。
奥歯を含めた全体の歯を動かすことで、歯を抜かずに治療できることをご説明し、同意いただきました。
順調に治療を進めるために、患者様には食事と歯磨きの時以外はマウスピースを装着していただくよう指導しました。
治療の際は、奥歯を後方に移動させることで、前歯がきれいに並ぶスペースを作りました。
術後の経過・現在のご様子
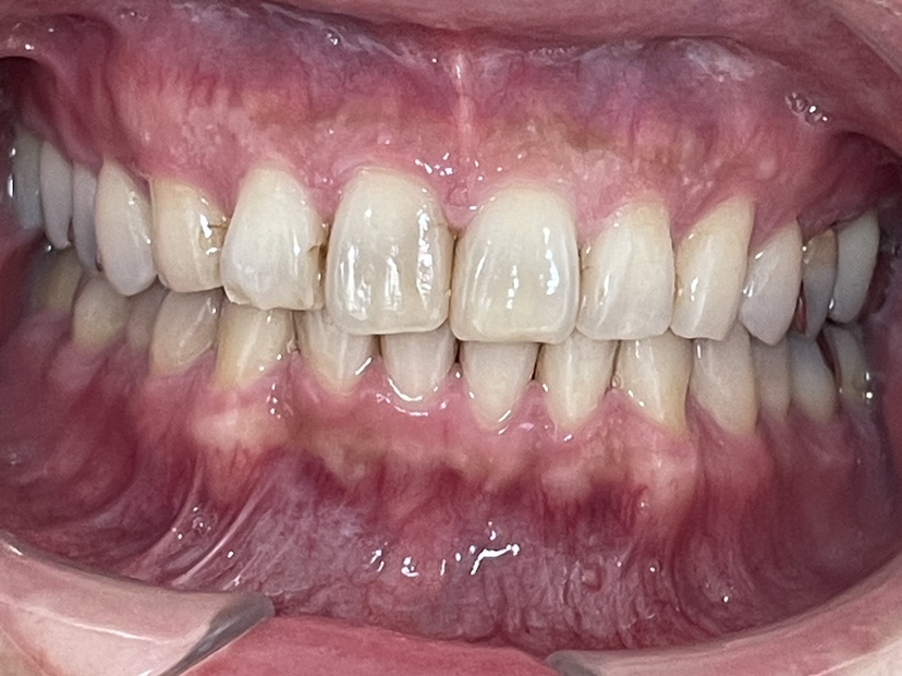
前に1本出ていた前歯は、しっかり歯列におさまりきれいな歯並びになりました。
過蓋咬合も改善し、正しい位置で噛み合わせられるようになりました。
患者様には「気になっていたことがどちらも改善されて嬉しいです」と大変喜んでいただき、笑顔がとても素敵になりました。
現在は検診でご来院いただき、歯並びの後戻りなどを定期的に確認しています。
この治療のリスクについて
・決められたアライナーの装着時間を守らないと、次のアライナーに交換できず、治療が遅れたり十分な効果が得られない場合があります。
・歯を抜いた後に矯正する場合や、あごの骨格に問題がある場合など、マウスピース矯正に対応していない症例は、治療が困難な可能性もあります。
・治療による歯の移動に伴って、痛みや違和感を感じる場合があります。
・他の矯正治療と同様に、正しく歯磨きやメンテナンスを行わないと虫歯や歯周病のリスクが高まります。
- 年齢・性別30代男性
- 診療種別自由診療
- 治療期間の目安1年半
治療費総額の目安735,000円
- 治療期間の目安1年半


※掲載された情報は治療の効果を保証するものではありません。
ご利用により万一何らかの損害が発生したとしても、当サイトは一切責任を負いかねますのでご了承ください。








