
10代男性「上の前歯が大きく前に出ている」マウスピース型矯正装置「インビザラインフル」を用いて、抜歯をせずに前歯を下げてすっきりとした口元に治療した症例


ご相談内容
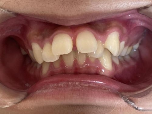
「上の前歯が大きく前に出ている」とご相談いただきました。
カウンセリング・診断結果
拝見したところ、上の前歯(左右中切歯/1番)には前に飛び出して生えている「唇側転移」が見られました。
また左上の前歯(犬歯/3番)は、歯の並び「歯列」からはみ出して生えている「八重歯」の状態で、下の前歯(左右中切歯、側切歯/2番、犬歯)には、デコボコに並ぶ「叢生(そうせい)」が見られました。
行ったご提案・治療内容
マウスピース型矯正装置「インビザラインフル」で、全体の歯並びを整える治療をご提案しました。
奥歯を後ろに移動させることで前歯を下げることができ、歯を抜かずに歯並びの改善ができることをご説明し、同意いただきました。
その後、患者様専用のマウスピースを作製し、奥歯がしっかり後ろに動くよう治療を行いました。
同時に前歯を下げ、上下の歯の真ん中「正中」が揃うように意識しながら歯を動かしました。
術後の経過・現在のご様子
デコボコだった歯並びは、きれいなアーチ状に並びました。
飛び出ていた前歯もすっきりとおさまり、美しい口元になりました。
患者様には「気にせず笑えるようになって、大学生活を満喫しています」と大変喜んでいただけました。
現在は、定期的にメンテナンスにてご来院されています。
この治療のリスクについて
・決められたアライナーの装着時間を守らないと、次のアライナーに交換できず、治療が遅れたり十分な効果が得られない場合があります。
・歯を抜いた後に矯正する場合や、あごの骨格に問題がある場合など、マウスピース矯正に対応していない症例は、治療が困難な可能性もあります。
・治療による歯の移動に伴って、痛みや違和感を感じる場合があります。
・他の矯正治療と同様に、正しく歯磨きやメンテナンスを行わないと虫歯や歯周病のリスクが高まります。
- 年齢・性別10代男性
- 診療種別自由診療
- 治療期間の目安2年7ヶ月
治療費総額の目安680,000円
- 治療期間の目安2年7ヶ月


※掲載された情報は治療の効果を保証するものではありません。
ご利用により万一何らかの損害が発生したとしても、当サイトは一切責任を負いかねますのでご了承ください。








