インビザライン治療 症例

20代男性「歯が出っ張っているのが気になる」マウスピース型矯正装置「インビザラインフル」で歯並びをきれいに整えた症例

ご相談内容

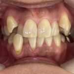
「前歯が出っ張っていて、口が閉じにくい」とご相談いただきました。

カウンセリング・診断結果

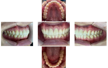
拝見すると、上下左右の前歯8本(中切歯/1番、側切歯/2番)が前方に突き出ている「上下顎前突(じょうげがくぜんとつ)」でした。
そのため、口が閉じづらく、口元が出ているように見えていました。

また、下左右の前歯4本(中切歯、側切歯)は歯が重なり合って生えている「叢生(そうせい)」で、歯磨きもしづらくなっていました。

行ったご提案・治療内容

歯並びを正しい位置に戻すために、前歯から奥歯まで全ての歯を動かすことができる、マウスピース型矯正装置「インビザラインフル」を選択しました。

まず、奥歯を後方に移動させ、歯を並べるスペースを確保しました。

次に、歯と歯の間をわずかに削って隙間を作る「IPR」を行い、前歯を正しい位置に並べました。

術後の経過・現在のご様子

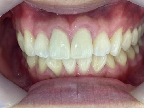
歯が真っ直ぐ並んで歯並びが整い、美しい口元になりました。

患者様にも、「きれいな歯並びになり、口も閉じやすくなった」と大変ご満足いただき、笑顔がとても素敵になりました。

現在は定期検診でご来院され、経過を観察しています。

この治療のリスクについて

・決められたアライナーの装着時間を守らないと、次のアライナーに交換できず、治療が遅れたり十分な効果が得られない場合があります。
・歯を抜いた後に矯正する場合や、あごの骨格に問題がある場合など、マウスピース矯正に対応していない症例は、治療が困難な可能性もあります。
・治療による歯の移動に伴って、痛みや違和感を感じる場合があります。
・他の矯正治療と同様に、正しく歯磨きやメンテナンスを行わないと虫歯や歯周病のリスクが高まります。

  1. 年齢・性別20代男性
  2. 診療種別自由診療
    1. 治療期間の目安2年3ヶ月
      治療費総額の目安725,000円

※掲載された情報は治療の効果を保証するものではありません。
ご利用により万一何らかの損害が発生したとしても、当サイトは一切責任を負いかねますのでご了承ください。

PC・スマホでかんたんインターネット予約
三井アウトレットパークバス停徒歩5分 本院ご予約
高速出口すぐそばのショッピングモール内 大曲医院ご予約
札幌中心街、チカホから直結のmoyuk2F moyuk Sapporo院ご予約
オススメの関連記事