
40代女性「歯の黄ばみが気になる」全体的に色が沈んだ歯を、即効性のある「オフィスホワイトニング」と持続性のある「ホームホワイトニング」を併用した「デュアルホワイトニング」で理想の白さにした症例


ご相談内容
「歯の黄ばみが気になる」とご来院いただきました。
カウンセリング・診断結果
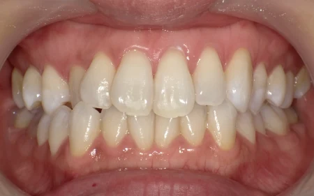
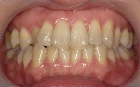
拝見したところ、歯が全体的に黄ばんで暗くなっていました。
特に上下左右の糸切り歯(犬歯/3番)は黄ばみが強く、他の前歯と比べると色に差がある状態でした。
患者様は「歯を治療したことがあまりなく、今の健康な歯を維持していきたい。その中で歯の色を白く綺麗にすることができれば尚嬉しい」とお話くださいました。
行ったご提案・治療内容
まず、患者様と一緒に歯の色見本を見ながら、目標となる白さを設定しました。
その後、ご希望の白さに到達する方法として、歯科医院で薬液を使用して歯を白くする「オフィスホワイトニング」と、専用のマウスピースとジェルを用いてご自宅で行う「ホームホワイトニング」を併用した「デュアルホワイトニング」をご提案しました。
2種類のホワイトニングを併用することで、短期間で理想の白さに近づき、効果も持続しやすいことをご説明し、同意いただきました。
術後の経過・現在のご様子
全体の歯が明るくなり、色むらもなく均一な仕上がりになりました。
患者様にも「知り合いから、歯が白いねと言われるようになりました」と大変ご満足いただきました。
現在は定期的なメンテナンスでご通院いただいております。
この治療のリスクについて
個人差がありますが、治療中や治療後に歯がしみる場合があります。
- 年齢・性別40代女性
- 診療種別自由診療
- 治療期間の目安2ヶ月
- 《内訳》
- デュアルホワイトニング 98,000円
- 治療期間の目安2ヶ月
※掲載された情報は治療の効果を保証するものではありません。
ご利用により万一何らかの損害が発生したとしても、当サイトは一切責任を負いかねますのでご了承ください。








