
20代男性「鏡を見るときに歯が黄色いのが気になる」全体的な歯の黄ばみを、歯科医院で行う「オフィスホワイトニング」とご自宅で行う「ホームホワイトニング」を併用した「デュアルホワイトニング」で改善した症例


ご相談内容
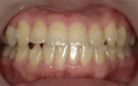
「鏡を見るときに歯が黄色いのが気になる」とご来院いただきました。
カウンセリング・診断結果
拝見したところ、全体的に歯の黄ばみが認められ、口元が暗い印象でした。
患者様は「就職活動中で営業職を希望しているため、歯が綺麗な方が嬉しい」とお話くださいました。
行ったご提案・治療内容
歯科医院で薬液を使用して歯を白くする「オフィスホワイトニング」と、ご自宅で行う「ホームホワイトニング」を併用した「デュアルホワイトニング」をご提案しました。
2種類のホワイトニングを併用することでより早く効果を実感でき、歯の白さも長持ちすることをご説明し、同意いただきました。
当院での施術を重ねるとともに、患者様専用のマウスピースとホワイトニング用のジェルをご自宅でご使用いただきながら、歯の色を白くしていきました。
術後の経過・現在のご様子
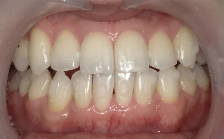
歯が美しい白さになり、笑ったときの口元も明るい雰囲気になりました。
患者様にも、施術前に撮影した写真と現在の歯の色を比較していただき、「凄く綺麗な歯になった。ホワイトニングする前と白さが全然違う」と大変お喜びいただきました。
現在も定期的な検診でご来院いただいております。
この治療のリスクについて
個人差がありますが、治療中や治療後に歯がしみる場合があります。
- 年齢・性別20代男性
- 診療種別自由診療
- 治療期間の目安2ヶ月
- 《内訳》
- デュアルホワイトニング 98,000円
- 治療期間の目安2ヶ月
※掲載された情報は治療の効果を保証するものではありません。
ご利用により万一何らかの損害が発生したとしても、当サイトは一切責任を負いかねますのでご了承ください。








