
30代女性「歯の色が気になる」歯科医院で行う「オフィスホワイトニング」と自宅での「ホームホワイトニング」を併用し、色の差をなくして明るい口元にした症例


ご相談内容
「歯の色が気になる」とご相談いただきました。
カウンセリング・診断結果
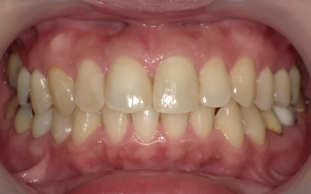
拝見したところ、上下の前歯(左右中切歯/1番、側切歯/2番)は日本人の平均よりも明るい色ですが、その横の前歯(犬歯/3番)との色の差がある状態でした。
患者様は「ホワイトニングがずっと気になっていた」とおっしゃっていました。
行ったご提案・治療内容
ご希望に沿って、歯自体の色を白くする「ホワイトニング」を行うことにしました。
今回はカウンセリングで患者様と目標の歯の色を決め、2種類のホワイトニングを併用し目標への到達が一番近い「デュアルホワイトニング」を行いました。
まず、歯の表面に塗った薬剤が光に反応して歯に浸透するため即効性がある「オフィスホワイトニング」を当院で行い、歯を白くしました。
その後、歯型をとって作ったトレーに、ホワイトニングジェルを入れてご自宅で使用してもらう「ホームホワイトニング」を行いました。
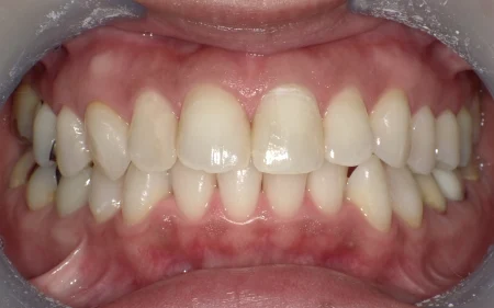
術後の経過・現在のご様子
色の差もなくなり、とても明るい口元になりました。
患者様には「目標の歯の色になって嬉しい」と大変ご満足いただけました。
現在は、定期的にメンテナンスにてご来院されています。
この治療のリスクについて
個人差がありますが、治療中や治療後に歯がしみる場合があります。
- 年齢・性別30代女性
- 診療種別自由診療
- 治療期間の目安2ヶ月
- 《内訳》
- デュアルホワイトニング 98,000円
- 治療期間の目安2ヶ月
※掲載された情報は治療の効果を保証するものではありません。
ご利用により万一何らかの損害が発生したとしても、当サイトは一切責任を負いかねますのでご了承ください。








