
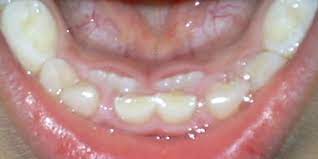
乳歯の本数と生えてくる時期
乳歯はおおよそ生後6ヶ月頃から少しづつ生え始めます。
はじめは下の前歯2本が生えだし、その後1歳半ごろまでに上の前歯2本と上下前歯の横の歯が生え始めます。
少しづつ生え始めた乳歯は1歳半を過ぎるころには計16本の歯が生えそろいだします。
最後には一番奥の歯が生えだすことで2歳半ごろまでに計20本の歯が生え揃います。
もちろん歯が生える時期には個人差がありますが、
まだ歯がはえてこない・・・。変な生え方になっている?など
不安な部分があるときは歯の定期検診を兼ねて一度歯医者さんで診てもらうと良いでしょう。

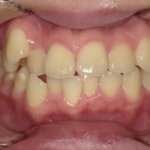
永久歯への生え変わり
乳歯は5歳~6歳頃になると永久歯へと生え変わっていきます。
徐々に生え変わった乳歯は最終的に12歳頃になると全ての歯が永久歯へと生え変わっていきます。もちろん生え変わりの時期やスピードには乳歯同様個人差があります。

永久歯は乳歯よりも大きく硬い歯質です。また乳歯が真っ白だったのに対して若干黄色みがかっている特徴もあります。
しかしいくら丈夫な歯になったといえど生えたばかりの永久歯はまだまだ未熟です。
歯に必要な栄養素(カルシウムやミネラル)を補うためにも市販のケア用品を使用してセルフケアをおこなうようにしましょう。
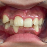
生え変わりに伴うトラブル
歯の生え変わりの時期になかなか歯が抜けなかったり、乳歯が抜ける前に永久歯が生えてきてしまったりと生え変わりの時期に起こるトラブルは意外と多くあります。

普段からお子さんの歯を見る習慣がないと気づかないトラブルも多く、生え変わりに伴うトラブルは見落としがちです。
見落としをなくしお子さんが健康的に過ごすためにも小さい頃から歯医者さんに行く習慣をつけ、小さな変化に気づくことがお口のトラブルを減らすことに繋がります。








