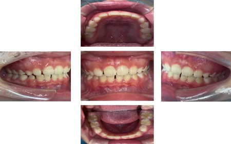
小児矯正 症例

10代男性「歯並びが心配」取り外し式矯正装置であごを広げる「床矯正」を行い、歯並びが悪くなる癖を改善する「マイオブレース」とトレーニングで歯が並ぶスペースを確保した症例

ご相談内容

「歯並びが心配。特に左下の前歯が入る場所がない」とご相談いただきました。

カウンセリング・診断結果

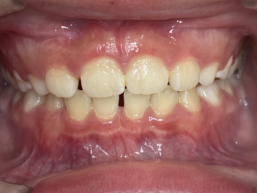
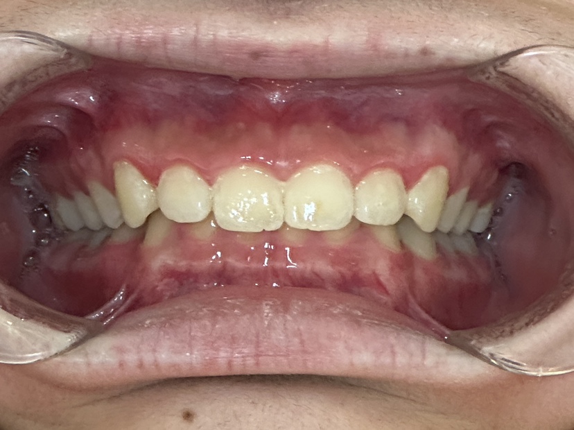
拝見したところ、左下の歯2本(犬歯/3番、第1小臼歯/4番)は歯が生えるスペースが足りず、デコボコした「叢生(そうせい)」がわずかに見られました。
噛み合わせた時に、上の前歯が下の前歯を覆い隠してしまう「過蓋咬合(かがいこうごう)」も認められました。

行ったご提案・治療内容

取り外し式の矯正装置を用いてあごを広げ、スペースを確保して歯並びを整える「床矯正(しょうきょうせい)」をご提案しました。
患者様の成長に合わせて少しずつあごの幅を拡大することで、歯を抜かずに歯並びが整い、これから生えてくる永久歯も正しい方向に誘導できる可能性をご説明し、同意をいただきました。
スペースがかなり不足していたため、根気強く拡大を続けました。

床矯正後は、口まわりの筋肉のバランスを整え、正しく成長するように導くマウスピース型装置「マイオブレース」を使用しました。
口呼吸や舌の癖など、歯並びを悪くする原因を改善するため、就寝中に加え、1日1時間ほど装着して口周辺のトレーニングを行いました。

術後の経過・現在のご様子

あごの幅がしっかり広げられたため、歯が並ぶスペースを確保することができました。
前歯の深い噛み合わせも改善しました。
患者様にも「歯並びが改善されて、自信をもって笑えるようになった」と、大変ご満足いただけました。
現在は、定期的にご来院いただき経過を確認しています。

この治療のリスクについて

・決められたスケジュールを守らないと十分な効果が得られない場合があります
・治療による歯の移動に伴って痛みや違和感を感じる場合があります
・他の矯正治療と同様に、正しく歯磨きやメンテナンスを行わないと虫歯や歯周病のリスクが高まります

  1. 年齢・性別10代男性
  2. 診療種別自由診療
    1. 治療期間の目安4年8か月
      治療費総額の目安264,000円
    2. 【内訳】
    3. 検査代 30,000円
    4. 装置代180,000円
    5. 経過管理料 2,000円×27回

※掲載された情報は治療の効果を保証するものではありません。
ご利用により万一何らかの損害が発生したとしても、当サイトは一切責任を負いかねますのでご了承ください。

PC・スマホでかんたんインターネット予約
三井アウトレットパークバス停徒歩5分 本院ご予約
高速出口すぐそばのショッピングモール内 大曲医院ご予約
札幌中心街、チカホから直結のmoyuk2F moyuk Sapporo院ご予約
オススメの関連記事