
40代男性「茶渋汚れが気になる。食べ物も挟まりやすくなった」着色や磨き残しによる歯石を、自費クリーニング「エアフロー」などできれいにし、見た目を改善した症例


ご相談内容
「仕事柄、色々な飲み物を試飲することが多く、茶渋が目立ってきた。年齢のせいか歯と歯の間にすき間ができて、食べ物が挟まってしまい汚れが気になる」とご相談いただきました。
カウンセリング・診断結果
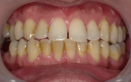
拝見すると、全体的に磨き残しが目立ち、着色がついていました。
また、歯の間を埋めるように「歯石」も沈着していました。
お仕事柄、茶渋がつきやすい飲み物を頻繁にお口にされるとのことで、このままの状態を放置してしまうと細菌が繫殖し、歯周病や虫歯につながるため、クリーニングで汚れを落とす必要がありました。
行ったご提案・治療内容
自費のクリーニングとして、非常に細かいパウダー粒子を歯に吹き付け歯の表面を掃除する「エアフロー」、歯石をとる「スケーリング」、専用のブラシとペーストで磨く「研磨」、「舌クリーニング」、「歯間ブラシ」により着色や歯石を除去しました。
クリーニングをすることで歯の表面がツルツルになり、汚れがつきにくくなる効果についてもご説明しました。
クリーニングは歯の表面に傷などのダメージを与えないよう、注意して治療を進めました。
術後の経過・現在のご様子
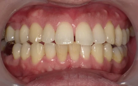
着色や歯の間に詰まるように付着していた歯石がきれいにとれ、見た目が改善しました。
患者様にも、「すごい。ほんとに着色や汚れがとれている」とお喜びいただきました。
「どのくらいの頻度でクリーニングを受けたらいいですか?」と、お口の健康への意識も高まっているご様子でした。
現在は、健康で美しい状態を保つために定期的に通院いただき、メンテナンスを続けています。
この治療のリスクについて
個人差がありますが、治療中や治療後に歯がしみる場合があります。
- 年齢・性別40代男性
- 診療種別自由診療
- 治療期間の目安1ヶ月
- 《総額》
- 16,000円
- 治療期間の目安1ヶ月
※掲載された情報は治療の効果を保証するものではありません。
ご利用により万一何らかの損害が発生したとしても、当サイトは一切責任を負いかねますのでご了承ください。








