
20代女性「上の前歯が目立っている」マウスピース型矯正装置「インビザラインGO」と、歯を薄く削ってセラミックを貼り付ける「ラミネートベニア」で前歯のバランスを整えた症例


ご相談内容
「上の前歯が目立っている。2番目の歯が小さい」とご相談いただきました。
カウンセリング・診断結果
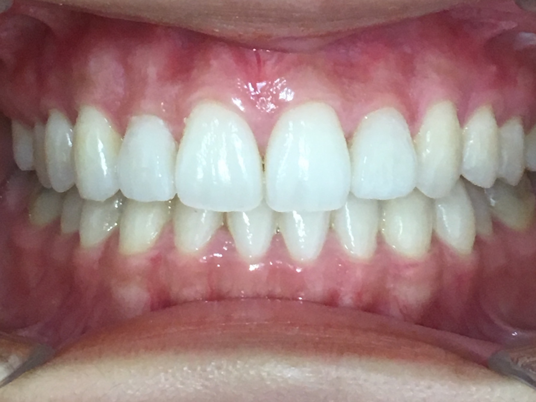
拝見したところ、上の前歯2本(左右の側切歯/2番)が、通常の歯に比べて歯の大きさが小さい「矮小歯(わいしょうし)」と呼ばれる歯で、バランスが悪くなっていました。
そのため、中央の前歯2本(左右の中切歯/1番)が前方に突き出ており、噛み合わせも悪くなっていました。
また、歯の色が全体的にくすんでおり、暗い印象でした。
患者様からは「前歯を綺麗にして、ホワイトニングもしたい」とご希望がありました。
行ったご提案・治療内容
まず、前歯のみの部分矯正が行えるマウスピース型矯正装置「インビザラインGO」で歯を動かして、中切歯の噛み合わせを整え、側切歯が入るスペースを作りました。
この時、正しい大きさの歯が入るように、適切なスペース作りを意識しました。
次に、矮小歯を適切な大きさにするために、歯の表面を薄く削り、自然な白さの「セラミック」を歯に貼り付ける「ラミネートベニア」で修復しました。
また、歯の色をトーンアップさせるために、ご自宅で行う「ホームホワイトニング」を行っていただきました。
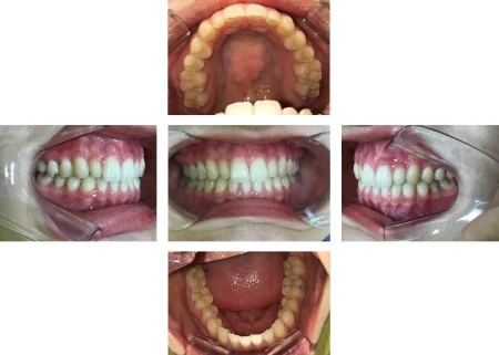
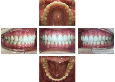
術後の経過・現在のご様子
上の前歯の大きさや形が自然になり、バランスの良い歯並びになりました。
患者様にも「前歯が綺麗になって嬉しい。歯の色も白くなって、自信を持って笑えるようになった」と大変ご満足いただけました。
現在は、後戻りを防ぐ「保定装置」をご使用いただき、定期的なメンテナンスで経過を観察しています。
この治療のリスクについて
・決められたスケジュールを守らないと十分な効果が得られない場合があります
・マウスピースに対応していない症例の場合、治療が困難な可能性もあります
・治療による歯の移動に伴って痛みや違和感がある場合があります
・他の矯正治療と同様に、正しい歯磨きやメンテナンスを行わないと虫歯や歯周病のリスクが高まります
- 年齢・性別20代女性
- 診療種別自由診療
- 治療期間の目安6か月
治療費総額の目安576,000円 - 【内訳】
- 検査代 30,000円
- インビザラインGO 400,000円
- ラミネートベニア 50,000円×2本
- ホームホワイトニング 16,000円
- 保定装置 30,000円
- 治療期間の目安6か月


※掲載された情報は治療の効果を保証するものではありません。
ご利用により万一何らかの損害が発生したとしても、当サイトは一切責任を負いかねますのでご了承ください。








