
10代女性「上の歯が前に出ている」マウスピース型矯正装置「マイオブレース」で口周りの筋肉バランスを整え、顎を広げる「床矯正」により、歯を抜かずに見た目と噛み合わせを改善した症例


ご相談内容
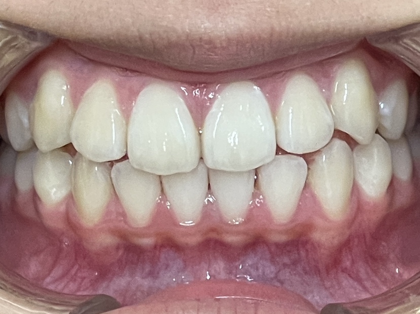
「上の歯が前に出ている」とご相談いただきました。
カウンセリング・診断結果
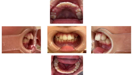
拝見したところ、安静時に口が開いていることにより、上顎が前へ突き出す「上顎前突(じょうがくぜんとつ)」、下顎が後ろに下がっている「下顎後退(かがくこうたい)」と診断しました。
患者様の場合、口周りの筋肉が弱く、口呼吸になっていることが原因と考えられました。
一般的には、歯並びの不具合、舌の癖や形、鼻の病気や肥満などが原因となる場合もあります。
また、口呼吸は虫歯や歯周病などの発症リスクが高まるため、早急に治療が必要と診断しました。
行ったご提案・治療内容
口周りの筋肉を整えて、口呼吸や舌の悪い癖を改善し、鼻呼吸を促す装置「マイオブレース」を使い、上顎の突出感や下顎の位置を改善する治療をご提案しました。
治療後の後戻りを予防するだけでなく、食べ物をしっかり噛んで飲み込む力が鍛えられ、鼻呼吸ができるようになるため、全身の健康状態も良好に保つことができます。
マイオブレースにより、お口の筋肉が正しく発達し上顎の突き出しは改善されましたが、このまま治療を進めると、スペースが足りないことで左上の前歯(犬歯/3番)が八重歯になりそうでした。
そこで、装置に付いている拡大ネジを徐々に広げていくことで歯並びを側方にゆっくり拡大して、抜歯せずに歯を並べるスペースを作る矯正装置「床矯正(しょうきょうせい)」で歯並びの拡大を行い、仕上げました。
できるだけ短期間で改善できるよう、計画的に治療を進めました。
術後の経過・現在のご様子
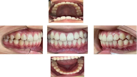
上下の顎のバランスが整い、歯もまっすぐに並んできれいになりました。
お母様も患者様も「出ていた前歯が改善され、口が閉じやすくなった。見た目もとても良くなってうれしい」と非常に喜んでいただけています。
この治療のリスクについて
・決められたスケジュールを守らないと十分な効果が得られない場合があります
・治療による歯の移動に伴って痛みや違和感を感じる場合があります
・他の矯正治療と同様に、正しく歯磨きやメンテナンスを行わないと虫歯や歯周病のリスクが高まります
- 年齢・性別10代女性
- 診療種別自由診療
- 治療期間の目安2年
治療費総額の目安480,000円 - 【内訳】
- 検査代 30,000円
- 装置代 400,000円
- 経過管理料 5,000円×10回
- 治療期間の目安2年


※掲載された情報は治療の効果を保証するものではありません。
ご利用により万一何らかの損害が発生したとしても、当サイトは一切責任を負いかねますのでご了承ください。








