インビザラインGO治療 症例

20代女性「歯が出ている」デコボコな歯並びと突き出た前歯をマウスピース型矯正装置「インビザラインGO」で、奥歯を動かさずに比較的短期間かつ費用を抑えて改善した症例

ご相談内容

「歯が出ているのが気になる」とご相談いただきました。

カウンセリング・診断結果

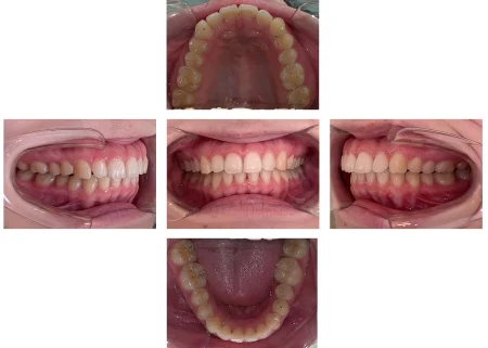
拝見すると、前歯を中心に歯がデコボコに生えている「叢生(そうせい)」でした。
また、前歯や上顎が正常な位置よりも前に出ている歯並びの「上顎前突(じょうがくぜんとつ)」が軽度のレベルで見られました。

患者様は「なるべく費用を抑えて治療したい」とご希望されました。

奥歯部分の上下の位置関係は正常で、噛み合わせも問題ありませんでした。
そのため、前歯のみの矯正治療で歯並びが整えられると診断しました。

行ったご提案・治療内容

患者様のご希望に沿って、前歯のみの矯正に適したマウスピース型矯正装置「インビザラインGO」をご提案しました。

インビザラインGOは、奥歯を除く計20本に限定して治療を行うため、通常のインビザライン矯正と比較して短期間かつ低価格で治療できるのが特徴です。

上顎の前突感をできる限り改善できるよう、丁寧に治療を進めました。

術後の経過・現在のご様子

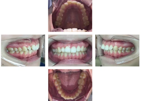
前歯の前突感が解消され、歯もまっすぐ並んで、見た目と噛み合わせが整いました。
患者様にも「きれいな歯並びになって嬉しい」とご満足いただけました。

現在は、健康で美しい状態を維持するために定期的にご通院いただき、メンテナンスを行っています。

この治療のリスクについて

・決められたスケジュールを守らないと十分な効果が得られない場合があります
・マウスピースに対応していない症例の場合、治療が困難な可能性もあります
・治療による歯の移動に伴って痛みや違和感がある場合があります
・他の矯正治療と同様に、正しい歯磨きやメンテナンスを行わないと虫歯や歯周病のリスクが高まります

  1. 年齢・性別20代女性
  2. 診療種別自由診療
    1. 治療期間の目安10か月

      治療費総額の目安420,000円
    2. 【内訳】
    3. インビザラインGO 400,000円
    4. 経過管理料5,000円×4回

※掲載された情報は治療の効果を保証するものではありません。
ご利用により万一何らかの損害が発生したとしても、当サイトは一切責任を負いかねますのでご了承ください。

PC・スマホでかんたんインターネット予約
三井アウトレットパークバス停徒歩5分 本院ご予約
高速出口すぐそばのショッピングモール内 大曲医院ご予約
札幌中心街、チカホから直結のmoyuk2F moyuk Sapporo院ご予約
オススメの関連記事