
20代女性「前歯が出ていて気になる」歯を抜かずに、マウスピース型矯正装置「インビザラインフル」で歯並びを改善させた症例


ご相談内容
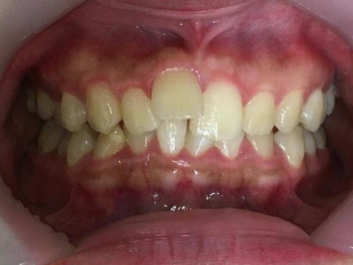
「前歯が出ているのが気になるため、口元を隠してしまう」とご相談いただきました。
カウンセリング・診断結果
拝見したところ、歯の大きさと顎の大きさが合っておらず、歯が部分的に重なっている「叢生(そうせい)」でした。
特に右上の前歯1本(中切歯/1番)が外側に飛び出しており、目立っていました。
患者様は「なるべく歯を抜かずに歯並びを整えたい」とご希望でした。
診察の結果、歯を動かすスペースがあり、歯を抜かずに治療できると判断しました。
行ったご提案・治療内容
歯並びの幅をしっかり拡大して歯を正しい位置に並べるスペースを確保するため、奥歯を含めた歯並び全体を治療できるマウスピース型矯正装置「インビザラインフル」をご提案しました。
インビザラインフルは透明な矯正器具なので、矯正治療中も目立ちません。また、食事中や歯磨きの時は取り外すこともできます。
術後の経過・現在のご様子
前歯の突出感が解消され、歯も正しい位置にきれいに並びました。
患者様も、「口元に自信が持てるようになり、口を開けて笑える」とこれまで以上に笑顔が素敵になり、非常にご満足いただけています。
この治療のリスクについて
・決められたアライナーの装着時間を守らないと、次のアライナーに交換できず、治療が遅れたり十分な効果が得られない場合があります。
・歯を抜いた後に矯正する場合や、あごの骨格に問題がある場合など、マウスピース矯正に対応していない症例は、治療が困難な可能性もあります。
・治療による歯の移動に伴って、痛みや違和感を感じる場合があります。
・他の矯正治療と同様に、正しく歯磨きやメンテナンスを行わないと虫歯や歯周病のリスクが高まります。
- 年齢・性別20代女性
- 診療種別自由診療
- 治療期間の目安2年
治療費総額の目安740,000円 - 【内訳】
- インビザラインフル 650,000円
- 経過管理料 5,000円×12回
- 保定装置代 30,000円
- 治療期間の目安2年


※掲載された情報は治療の効果を保証するものではありません。
ご利用により万一何らかの損害が発生したとしても、当サイトは一切責任を負いかねますのでご了承ください。








