
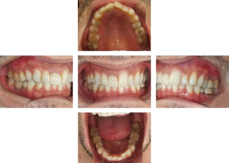
40代男性「かみ込みが深いのが気になる」過剰に前歯が覆いかぶさっていたかみ合わせを、マウスピース型矯正装置の「インビザラインフル」で改善した症例


ご相談内容
「かみ込みが深いのが気になる」とご相談いただきました。
カウンセリング・診断結果
拝見すると、奥歯でかんだときに下の前歯がほとんど見えない歯並びである「過蓋咬合(かがいこうごう)」で、奥歯のかみ合わせが深くなっている状態でした。
また、下の前歯6本(左右の中切歯/1番、側切歯/2番、犬歯/3番)は、デコボコに並んだ軽度の「叢生(そうせい)」が見られました。
上あご、下あごともに、歯が適正な位置に並ぶためのスペースがありませんでした。
行ったご提案・治療内容
歯を正しく並べるためのスペースを確保しながら、かみ込みの深さを元の高さに戻す「咬合挙上(こうごうきょじょう)」を行って、歯並びを整えていく治療をご提案しました。
矯正装置には、奥歯を含めた全体的な歯並びを整えることができる透明なマウスピース型矯正装置の「インビザラインフル」を選択しました。
術後の経過・現在のご様子
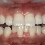
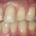
かみ合わせの高さが適正になり、正しい位置でかめるようになりました。
患者様にも「気になっていたかみ込みの深さが改善され、しっかりかめるようになって嬉しい」と大変ご満足いただきました。
現在は、歯の後戻りを防ぐための「保定装置」をご使用いただき、定期的なメンテナンスで経過を観察中です。
この治療のリスクについて
・決められたアライナーの装着時間を守らないと、次のアライナーに交換できず、治療が遅れたり十分な効果が得られない場合があります。
・歯を抜いた後に矯正する場合や、あごの骨格に問題がある場合など、マウスピース矯正に対応していない症例は、治療が困難な可能性もあります。
・治療による歯の移動に伴って、痛みや違和感を感じる場合があります。
・他の矯正治療と同様に、正しく歯磨きやメンテナンスを行わないと虫歯や歯周病のリスクが高まります。
- 年齢・性別40代男性
- 診療種別自由診療
- 治療期間の目安1年半
治療費総額の目安680,000円 - 【内訳】
- インビザラインフル 590,000円
- 検査代 30,000円
- 経過管理料 5,000円×6回
- 保定装置代 30,000円
- 治療期間の目安1年半


※掲載された情報は治療の効果を保証するものではありません。
ご利用により万一何らかの損害が発生したとしても、当サイトは一切責任を負いかねますのでご了承ください。








