
40代女性「ガタガタの歯並びが気になる」マウスピース型矯正装置「インビザラインフル」で見た目と噛み合わせが改善した症例


ご相談内容
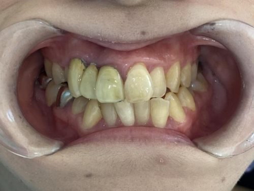
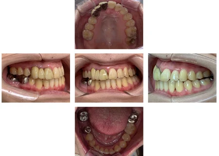
「ガタガタの歯並びが気になる」とご来院いただきました。
カウンセリング・診断結果
拝見したところ、歯が前後して重なり合っていたり傾いている「叢生(そうせい)」の状態でした。
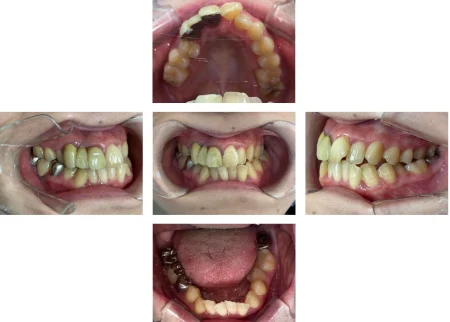
また、右下の奥歯(第2小臼歯/5番、第2大臼歯/7番)には、失った歯の両隣の歯を削って橋渡しした被せ物の「ブリッジ」が入っていました。
行ったご提案・治療内容
叢生をしっかり改善するために、マウスピース型の矯正装置「インビザラインフル」をご提案しました。
ブリッジが入った右下の奥歯は動かすことができないめ、そこも加味し治療を行いました。
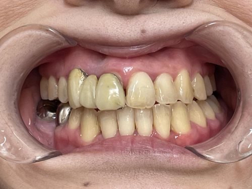
矯正治療後は、きれいに並んだ歯が後戻りすることがないように、「保定装置」を装着していただきました。
術後の経過・現在のご様子
歯がまっすくきれいに並び、ガタガタとした歯並びが改善しました。
患者様にも「歯並びが良くなり、しっかり噛めるようになった」と非常にご満足いただきました。
現在は定期的に歯並びを確認し、保定装置のご使用も良好です。
今後はホワイトニングで歯の色を改善した後に、被せ物の治療を行う予定です。
この治療のリスクについて
・決められたアライナーの装着時間を守らないと、次のアライナーに交換できず、治療が遅れたり十分な効果が得られない場合があります。
・歯を抜いた後に矯正する場合や、あごの骨格に問題がある場合など、マウスピース矯正に対応していない症例は、治療が困難な可能性もあります。
・治療による歯の移動に伴って、痛みや違和感を感じる場合があります。
・他の矯正治療と同様に、正しく歯磨きやメンテナンスを行わないと虫歯や歯周病のリスクが高まります。
- 年齢・性別40代女性
- 診療種別自由診療
- 治療期間の目安2年3か月
治療費総額の目安700,000円 - 【内訳】
- インビザラインフル 580,000円
- 検査代 30,000円
- 経過管理料 5,000円×12回
- 保定装置代 30,000円
- 治療期間の目安2年3か月


※掲載された情報は治療の効果を保証するものではありません。
ご利用により万一何らかの損害が発生したとしても、当サイトは一切責任を負いかねますのでご了承ください。








