
30代女性「八重歯が気になる。歯を抜かずに治したい」デコボコの歯並びを、マウスピース型矯正装置「インビザラインフル」で全体の歯を動かして改善した症例


ご相談内容
「八重歯が気になる」とご相談いただきました。
カウンセリング・診断結果
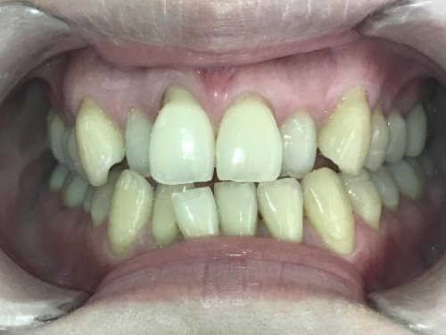
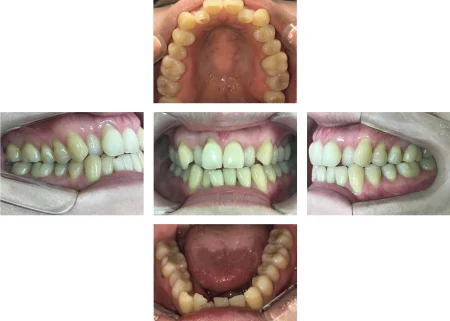
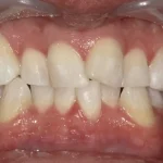
拝見したところ、歯が正常な位置からずれたり傾いたりしてデコボコに生えている「叢生(そうせい)」が認められました。
特に上の左右の糸切り歯(犬歯/3番)は、隣の歯(側切歯/2番)より前に出ている「八重歯」になっていました。
患者様は「歯を抜かずに治療したい」とご希望でした。
行ったご提案・治療内容
取り外し式のマウスピース型矯正装置「インビザラインフル」で歯並びを改善する治療をご提案しました。
奥歯を含めた全体の歯を動かし、歯並びの幅を広げつつ歯を後方に移動させることで歯を抜かずに治療できることをご説明したところ、同意いただきました。
歯並びがきれいに整うよう綿密な治療計画を立て、歯が並ぶためのスペースをしっかり確保しながら治療を進めました。
術後の経過・現在のご様子
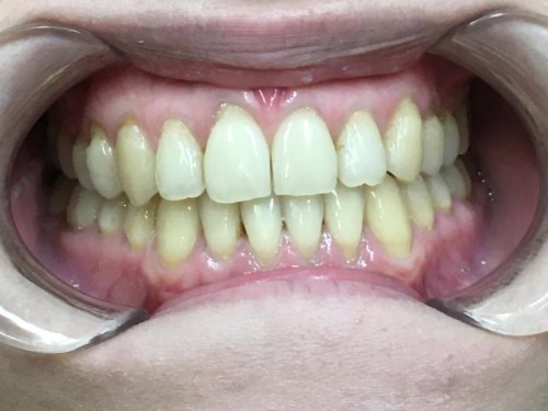
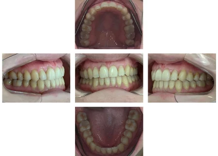
歯がきれいなアーチを描いて並び、笑ったときの口元も素敵になりました。
患者様にも「歯並びを気にせずに過ごせて嬉しい」と明るい表情でお話いただきました。
現在は歯並びの後戻りを防ぐための「保定装置」をご使用いただいています。
また、歯を白くする「ホワイトニング」もご希望されており、今後行う予定です。
この治療のリスクについて
・決められたアライナーの装着時間を守らないと、次のアライナーに交換できず、治療が遅れたり十分な効果が得られない場合があります。
・歯を抜いた後に矯正する場合や、あごの骨格に問題がある場合など、マウスピース矯正に対応していない症例は、治療が困難な可能性もあります。
・治療による歯の移動に伴って、痛みや違和感を感じる場合があります。
・他の矯正治療と同様に、正しく歯磨きやメンテナンスを行わないと虫歯や歯周病のリスクが高まります。
- 年齢・性別30代女性
- 診療種別自由診療
- 治療期間の目安2年2か月
治療費総額の目安705,000円 - 【内訳】
- インビザラインフル 580,000円
- 検査代 30,000円
- 経過管理料 5,000円×13回
- 保定装置代 30,000円
- 治療期間の目安2年2か月


※掲載された情報は治療の効果を保証するものではありません。
ご利用により万一何らかの損害が発生したとしても、当サイトは一切責任を負いかねますのでご了承ください。








