
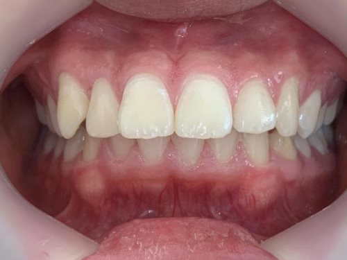
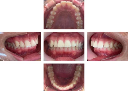
10代男性「前歯が出ているのが気になる」上の前歯が前に突き出している「上顎前突」を、マウスピース型矯正装置「インビザラインフル」で後方に下げ、自然で美しい歯並びにした症例


ご相談内容
「前歯が出ているのが気になる」とご相談いただきました。
カウンセリング・診断結果
拝見したところ、上の前歯が前方に突き出している「上顎前突(じょうがくぜんとつ)」が認められました。
噛み合わせも悪くなっており、前歯でしっかり噛めない状態でした。
行ったご提案・治療内容
取り外し式のマウスピース型矯正装置「インビザラインフル」で歯並びを整える治療をご提案しました。
奥歯も含めた全体の歯を後方に下げることで、歯を抜かずに前歯の突出感を改善できることをご説明し、同意いただきました。
まず、治療計画を立てる「ステージング」を行い、歯並びが後方にしっかり移動するよう工夫しながらマウスピースを設計しました。
完成した患者様専用のマウスピースを、食事と歯磨きの時以外は装着していただくようご指導し、歯並びを改善していきました。
術後の経過・現在のご様子
前歯が後方に下がってきれいに並び、しっかり噛めるようになりました。
患者様にも「前歯の突き出した感じが無くなり、自然な歯並びになった」と非常にご満足いただきました。
現在は歯の後戻りを防ぐための「保定装置」をご使用いただき、経過を拝見しています。
この治療のリスクについて
・決められたアライナーの装着時間を守らないと、次のアライナーに交換できず、治療が遅れたり十分な効果が得られない場合があります。
・歯を抜いた後に矯正する場合や、あごの骨格に問題がある場合など、マウスピース矯正に対応していない症例は、治療が困難な可能性もあります。
・治療による歯の移動に伴って、痛みや違和感を感じる場合があります。
・他の矯正治療と同様に、正しく歯磨きやメンテナンスを行わないと虫歯や歯周病のリスクが高まります。
- 年齢・性別10代男性
- 診療種別自由診療
- 治療期間の目安1年9か月
治療費総額の目安685,000円 - 【内訳】
- インビザラインフル 580,000円
- 検査代 30,000円
- 経過管理料 5,000円×9回
- 保定装置代 30,000円
- 治療期間の目安1年9か月


※掲載された情報は治療の効果を保証するものではありません。
ご利用により万一何らかの損害が発生したとしても、当サイトは一切責任を負いかねますのでご了承ください。








