
60代女性「前歯の被せ物と歯の色の違いが目立って気になる」歯科医院で行う「オフィスホワイトニング」と、自宅で行う「ホームホワイトニング」併用後、前歯の被せ物を作り直して明るい口元にした症例


ご相談内容
「前歯の被せ物と歯の色の違いが目立って気になる」とご相談いただきました。
カウンセリング・診断結果
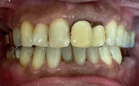
拝見したところ、左上の前歯2本(中切歯/1番、側切歯/2番)は、金属の表面をレジンと呼ばれるプラスチックで覆った差し歯「レジン前装冠」が装着されていました。
レジン部分は劣化により黄ばみ、周囲の歯との色の違いが明確でした。
特に中切歯は、金属が劣化して溶け出したものが根元の歯茎に染み付き、黒く変色する「メタルタトゥー」も見られました。
側切歯は、歯茎が下がり、歯の根っこ「歯根」も見えていました。
全体的に歯の表面は、着色や歯石など汚れの付着も見られました。
患者様は「5~6年前、左上の前歯の被せ物と歯の色の違いが目立つようになってきたことに気づき、ショックだった。人と話すときも、目線が気になって口元を手で隠して笑っている」とのお話でした。
行ったご提案・治療内容
歯の汚れ除去を行った後、ホワイトニングで歯の色を明るくし、その色に合わせて被せ物を作り直すことをご提案しました。
患者様は「気軽に人と話したり、気にせず笑いたい。清潔感があって、明るいと思われたら嬉しいのでやりたい」と同意いただきました。
まずは、ホワイトニングをより綺麗に仕上げ清潔感のある口元にするために、歯石や着色を徹底的に除去しました。
歯の表面が綺麗になった後は、歯に薬剤を塗って光を当てて歯を白くする「オフィスホワイトニング」を当院で施術しました。
それと併せて、歯型をとって作ったトレーにホワイトニングジェルを入れてご自宅で使用する「ホームホワイトニング」も行いました。
ホワイトニング後に、左上の前歯2本はメタルタトゥーが生じず自然な見た目を再現できる「オールセラミック」の被せ物を装着しました。
被せ物は、明るい色になった歯の色や、下がってしまった歯茎の位置にしっかり合うように製作しました。
術後の経過・現在のご様子
新しい被せ物とご自分の歯の差がなくなり、自然な仕上がりになりました。
汚れがなくなり、色も白くなったので、口元の印象が明るくなりました。
患者様は「すごく白くなっている。これなら気にすることなく話したり笑ったりできる」と大変喜んでいただきました。
現在は、定期的なメンテナンスでご来院されています。
この治療のリスクについて
個人差がありますが、治療中や治療後に歯がしみる場合があります。
- 年齢・性別60代女性
- 診療種別自由診療
- 治療期間の目安2ヶ月
- 《内訳》
- デュアルホワイトニング 98,000円
- オールセラミックの被せ物2本 90,000円
- 治療期間の目安2ヶ月
※掲載された情報は治療の効果を保証するものではありません。
ご利用により万一何らかの損害が発生したとしても、当サイトは一切責任を負いかねますのでご了承ください。








