
30代女性「口元が出ていて唇が閉じにくい」前方に出ている上下の前歯を、マウスピース矯正装置「インビザラインフル」と歯科矯正用のネジを用いて後ろに下げ、美しい口元にした症例


ご相談内容
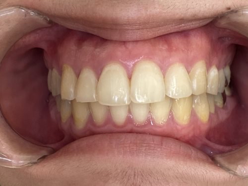
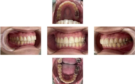
「口元が出ていて唇が閉じにくい」とご相談いただきました。
カウンセリング・診断結果
拝見したところ、上下の前歯が前方に出ている「上下顎前突(じょうげがくぜんとつ)」で、横から見た時に口元が突き出しており、唇も閉じにくくなっていました。
患者様からは「歯科矯正治療の経験があり、結果に満足できずこちらに来院した」とお話いただきました。
行ったご提案・治療内容
取り外し式のマウスピース矯正装置「インビザラインフル」と、歯科矯正用の金属のネジ「TAD」を用いて歯並びを後ろに下げる治療をご提案し、同意いただきました。
まず患者様専用のマウスピースを作製し、食事と歯磨きの時以外はマウスピースを装着していただくようご指導しました。
さらに、上あごの骨の真ん中にTADを埋めて土台にし、上の前歯を引っ張って後方に動かすことで、口元の突き出し感が改善するよう努めました。
術後の経過・現在のご様子
前歯が下がって口が閉じやすくなり、横から見た時の唇のラインも美しくなりました。
患者様にも「自然に口が閉じられるようになり嬉しい」と非常にご満足いただきました。
現在は歯の後戻りを防ぐための「保定装置」をご使用いただき、定期的に経過を拝見しています。
この治療のリスクについて
・決められたアライナーの装着時間を守らないと、次のアライナーに交換できず、治療が遅れたり十分な効果が得られない場合があります。
・歯を抜いた後に矯正する場合や、あごの骨格に問題がある場合など、マウスピース矯正に対応していない症例は、治療が困難な可能性もあります。
・治療による歯の移動に伴って、痛みや違和感を感じる場合があります。
・他の矯正治療と同様に、正しく歯磨きやメンテナンスを行わないと虫歯や歯周病のリスクが高まります。
- 年齢・性別30代女性
- 診療種別自由診療
- 治療期間の目安2年4か月
治療費総額の目安700,000円 - 【内訳】
- インビザラインフル 580,000円
- 検査代 30,000円
- 経過管理料 5,000円×12回
- 保定装置代 30,000円
- 治療期間の目安2年4か月


※掲載された情報は治療の効果を保証するものではありません。
ご利用により万一何らかの損害が発生したとしても、当サイトは一切責任を負いかねますのでご了承ください。








