
30代女性「前から2番目の歯が後ろに入っている。マスクを取った時のために歯を白くしたい」抜歯せずにマウスピース型矯正装置「インビザラインフル」で歯並びと噛み合わせを改善し、ホワイトニングで全体的にトーンアップさせた症例


ご相談内容
「前から2番目の歯が後ろに入っているのが気になる。また、鏡を見るたびにマスクを取った時のギャップをすごく感じる。これからマスクを取った時のために、歯を白くしたい」とご相談いただきました。
カウンセリング・診断結果
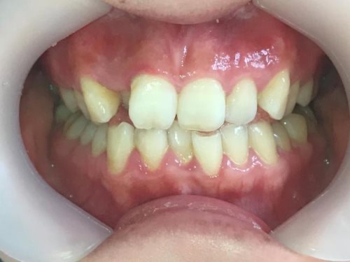
拝見したところ、右上の前歯(側切歯/2番)は、歯の並びから内側にずれて生える「口蓋側転移(こうがいそくてんい)」が見られました。
内側に生えていることで、下の歯と反対に噛み合う「交叉咬合」になっていました。
また、下の前歯2本(中切歯/1番)は、デコボコに並ぶ「叢生(そうせい)」が見られました。
特に左下の中切歯は、上下の歯の先端で噛み合う「切端咬合(せったんこうごう)」の状態でした。
この噛み合わせによって、左下中切歯の先端は摩擦で削れていました。
歯の色は全体的に黄ばみが見られました。
行ったご提案・治療内容
歯を並べるのに必要なスペースを確保するための抜歯は行わず、幅広い歯並びに対応したマウスピース型矯正装置「インビザラインフル」にて矯正治療を行いました。
治療を順調に進めるために、装置を十分な時間つける必要があることをご説明しました。
また、マウスピース装着の際、虫歯や歯周病のリスクを減らすため、歯磨きなどの「セルフケア」をしっかり行うようご指導しました。
さらに、全体的な黄ばみを取るために、歯自体を白くする「ホワイトニング」をご提案しました。
ホワイトニングには、歯科医院で行う「オフィスホワイトニング」と自宅でご自身のペースで行う「ホームホワイトニング」、両方を併用する「デュアルホワイトニング」があることをお伝えし、一番白くなりホワイトニング効果が高いデュアルホワイトニングを選択されました。
術後の経過・現在のご様子
術後の経過・現在のご様子
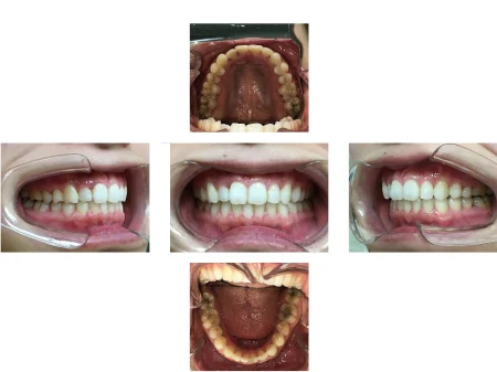
上下の前歯が綺麗な歯並びになったことで噛み合わせも正常になり、後戻りもなく経過は順調です。
また、お口全体の歯の色も清潔感のある自然な白さになりました。
患者様には「歯並びや色が気にならなくなり、自信をもって笑えるようになった」と、大変ご満足いただけました。
現在は、後戻りを防ぐための装置「保定装置(リテーナー)」を使用していただき、定期的に経過を観察しています。
。
この治療のリスクについて
・決められたアライナーの装着時間を守らないと、次のアライナーに交換できず、治療が遅れたり十分な効果が得られない場合があります。
・歯を抜いた後に矯正する場合や、あごの骨格に問題がある場合など、マウスピース矯正に対応していない症例は、治療が困難な可能性もあります。
・治療による歯の移動に伴って、痛みや違和感を感じる場合があります。
・他の矯正治療と同様に、正しく歯磨きやメンテナンスを行わないと虫歯や歯周病のリスクが高まります。
- 年齢・性別30代1女性
- 診療種別自由診療
- 治療期間の目安1年8か月
治療費総額の目安808,000円 - 【内訳】
- インビザラインフル 650,000円
- 経過管理料 5,000円×6回
- 保定装置代 30,000円
- デュアルホワイトニング 98,000円
- 治療期間の目安1年8か月


※掲載された情報は治療の効果を保証するものではありません。
ご利用により万一何らかの損害が発生したとしても、当サイトは一切責任を負いかねますのでご了承ください。








