
20代男性「上の歯が前に出ていて、下の歯は1本はみ出ている。」マウスピース矯正「インビザラインフル」を使い、抜歯をせずに「出っ歯」とデコボコな歯並びを改善した症例


ご相談内容
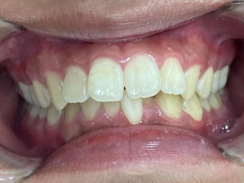
「上の歯が前に出ていて、下の歯は1本はみ出ている。」とご相談いただきました。
カウンセリング・診断結果
拝見したところ、上の前歯4本(左右中切歯/1番、側切歯/2番)は、横から見た時に前方へ飛び出た状態「上顎前突」が認められました。
いわゆる「出っ歯」と呼ばれる状態でした。
左下の中切歯は外側へ、側切歯は内側へずれて生え、デコボコに並ぶ「叢生(そうせい)」も見られました。
また、噛み合わせた時の上下の前歯の中心「正中」の位置もずれていました。
行ったご提案・治療内容
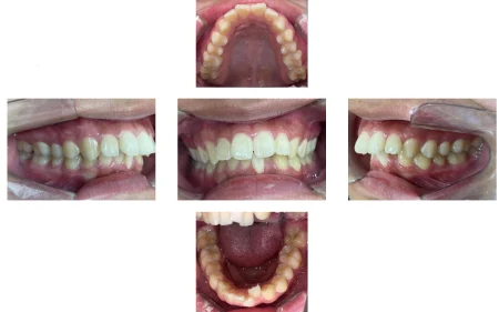
マウスピース型矯正装置「インビザラインフル」を使用して歯並びを整える治療を提案しました。
今回は抜歯をせずに矯正治療を進めるため、奥歯を含めた歯の並び「歯列」全体を治療できるインビザラインフルを選択しました。
治療時は、並びを整えるだけでなく、正中が揃うように取り組みました。
術後の経過・現在のご様子
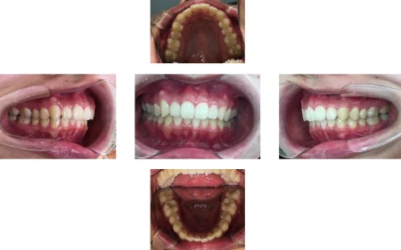
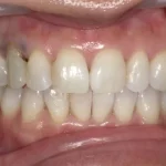
正中の位置も改善し、きれいな歯並びになりました。
横から見た時も、前方への突出感はなくなりました。
患者様には「自然と笑うことが増えました」と、大変喜んでいただけました。
現在は、後戻りを防止する装置「保定装置」を使用していただき、定期的に経過を確認しています。
この治療のリスクについて
・決められたアライナーの装着時間を守らないと、次のアライナーに交換できず、治療が遅れたり十分な効果が得られない場合があります。
・歯を抜いた後に矯正する場合や、あごの骨格に問題がある場合など、マウスピース矯正に対応していない症例は、治療が困難な可能性もあります。
・治療による歯の移動に伴って、痛みや違和感を感じる場合があります。
・他の矯正治療と同様に、正しく歯磨きやメンテナンスを行わないと虫歯や歯周病のリスクが高まります。
- 年齢・性別10代男性
- 診療種別自由診療
- 治療期間の目安2年7か月
治療費総額の目安715,000円 - 【内訳】
- インビザラインフル 580,000円
- 経過管理料 5,000円×15回
- 保定装置代 30,0001円
- 治療期間の目安2年7か月


※掲載された情報は治療の効果を保証するものではありません。
ご利用により万一何らかの損害が発生したとしても、当サイトは一切責任を負いかねますのでご了承ください。








