
10代男性「噛み合わせが気になる」上の前歯が覆いかぶさって下の前歯が見えない「過蓋咬合」を、歯を抜かずにマウスピース型矯正装置「インビザラインフル」で改善した症例


ご相談内容
「噛み合わせが気になる」とご相談いただきました。
カウンセリング・診断結果
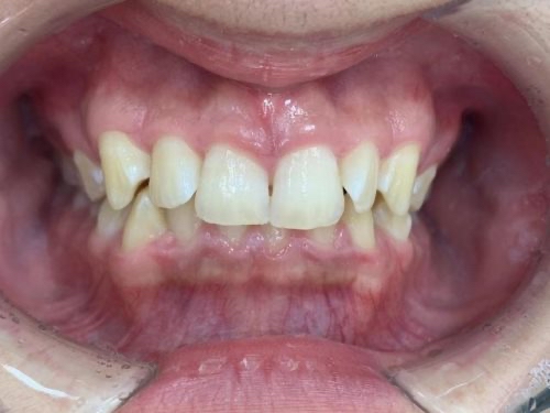
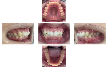
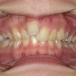
拝見したところ、噛み合わせた時に上の前歯が覆いかぶさり、下の前歯がほとんど見えないほど噛み合わせが深い「過蓋咬合(かがいこうごう)」が認められました。
また、上左右の前歯(側切歯/2番)と右下の前歯(犬歯/3番)は、捻れて生える「捻転(ねんてん)」が見られました。
患者様は「進学も控えているため、短期間で治療したい」と希望されていました。
行ったご提案・治療内容
マウスピース型矯正装置「インビザラインフル」で歯並びを整える治療をご提案しました。
インビザラインフルを用いることで歯を抜かずに治療ができ、歯並びだけでなく噛み合わせも改善できることをご説明し、同意をいただきました。
患者様のご希望に沿うため、歯を動かす際は、光を当てて矯正による歯の移動スピードを加速させる「PBM加速装置」を併用し、短期間での治療完了を目指しました。
術後の経過・現在のご様子
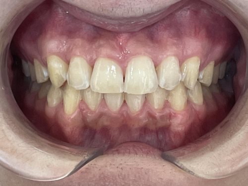
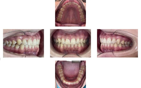
噛み合わせの位置が改善され、歯並びもきれいになりました。
患者様には「すごくきれいになった」と大変ご満足いただきました。
現在は、後戻り防止のための装置「保定装置」を使用していただき、定期的に経過を確認しています。
この治療のリスクについて
・決められたアライナーの装着時間を守らないと、次のアライナーに交換できず、治療が遅れたり十分な効果が得られない場合があります。
・歯を抜いた後に矯正する場合や、あごの骨格に問題がある場合など、マウスピース矯正に対応していない症例は、治療が困難な可能性もあります。
・治療による歯の移動に伴って、痛みや違和感を感じる場合があります。
・他の矯正治療と同様に、正しく歯磨きやメンテナンスを行わないと虫歯や歯周病のリスクが高まります。
- 年齢・性別10代男性
- 診療種別自由診療
- 治療期間の目安1年4か月
治療費総額の目安750,000円 - 【内訳】
- インビザラインフル 590,000円
- 経過管理料 5,000円×6回
- 保定装置代 30,000円
- 加速装置 100,000円
- 治療期間の目安1年4か月


※掲載された情報は治療の効果を保証するものではありません。
ご利用により万一何らかの損害が発生したとしても、当サイトは一切責任を負いかねますのでご了承ください。








