インビザライン治療 症例

20代女性「ガタガタした前歯が気になる」マウスピース型矯正装置「インビザラインフル」を使用し、抜歯をせずに歯並びを整えてしっかり奥歯で噛めるようにした症例

ご相談内容

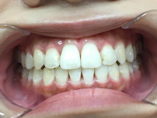
「ガタガタした前歯が気になる」とご相談いただきました。

カウンセリング・診断結果

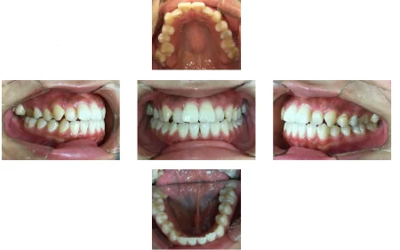
拝見すると、左右上の前歯2本(側切歯/2番)が内側に傾いて生えていて、両隣の歯(中切歯/1番、犬歯/3番)と重なり、デコボコに並ぶ「叢生(そうせい)」でした。

それに加えて、右上奥歯2本(第1大臼歯/6番、第2大臼歯/7番)も叢生で、右下の歯(第1大臼歯、第2大臼歯)とずれて噛んでいました。

このまま放置すると、あごの関節に負担がかかって痛みが出たり、口の開け閉めがしづらくなったりする「顎関節症(がくかんせつしょう)」のリスクが高くなります。

患者様は「なるべく歯を抜きたくない」とご希望でした。

さらに、右下の奥歯(第2大臼歯)に装着されていた被せ物の高さが足りず、歯を正しい位置に移動させたとしても、上の歯としっかりと噛み合わない状態でした。

行ったご提案・治療内容

前歯の矯正だけでなく、奥歯を含めたお口全体の歯並びを改善する必要性をご説明し、ご納得いただけました。
患者様のご希望に沿って抜歯をせずに、マウスピース型矯正装置「インビザラインフル」を使用して矯正治療を進めました。

右下奥歯の被せ物は、自然な見た目で強度が高い「セラミック」でしっかりと奥歯で噛める形に作り直しました。

術後の経過・現在のご様子

きれいな歯並びになって奥歯でしっかり噛めるようになりました。
来院されるたびに患者様の笑顔が増えて、矯正終了後は「きれいに歯が並んで嬉しい」と大変満足していただけました。

この治療のリスクについて

・決められたアライナーの装着時間を守らないと、次のアライナーに交換できず、治療が遅れたり十分な効果が得られない場合があります。
・歯を抜いた後に矯正する場合や、あごの骨格に問題がある場合など、マウスピース矯正に対応していない症例は、治療が困難な可能性もあります。
・治療による歯の移動に伴って、痛みや違和感を感じる場合があります。
・他の矯正治療と同様に、正しく歯磨きやメンテナンスを行わないと虫歯や歯周病のリスクが高まります。

  1. 年齢・性別20代女性
  2. 診療種別自由診療
    1. 治療期間の目安1年9か月
      治療費総額の目安720,000円
    2. 【内訳】
    3. インビザラインフル 590,000円
    4. 検査代 30,000円
    5. 経過管理料 5,000円×10回
    6. セラミック代 50,000円

※掲載された情報は治療の効果を保証するものではありません。
ご利用により万一何らかの損害が発生したとしても、当サイトは一切責任を負いかねますのでご了承ください。

PC・スマホでかんたんインターネット予約
三井アウトレットパークバス停徒歩5分 本院ご予約
高速出口すぐそばのショッピングモール内 大曲医院ご予約
札幌中心街、チカホから直結のmoyuk2F moyuk Sapporo院ご予約
オススメの関連記事