
50代女性「前歯がガタガタで笑えない」マウスピース型矯正装置「インビザラインフル」で、非抜歯にて歯並びと噛み合わせを治療し、見た目を改善した症例


ご相談内容
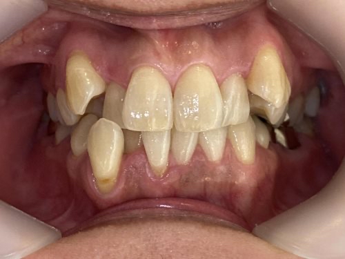
「前歯のガタガタがひどく、人前で笑えない。歯を抜かずに治したい」とご相談いただきました。
カウンセリング・診断結果
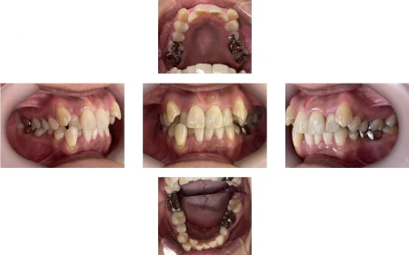
拝見すると、上下左右の前歯12本(中切歯/1番・側切歯/2番・犬歯/3番)が、デコボコに生えている状態の「叢生(そうせい)」でした。
行ったご提案・治療内容
患者様のご希望に沿い、非抜歯で歯並びを整えるためにマウスピース型矯正装置の「インビザラインフル」を選択しました。
マウスピース型矯正装置は、ご自身での取り外しが可能な点がメリットのひとつですが、外している時間が長くなると治療が計画通りに進まなくなるデメリットもあります。
お食事と歯磨きの時間以外はしっかりと装着していただく重要性を丁寧にご説明し、ご理解を得ました。
術後の経過・現在のご様子
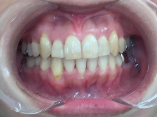
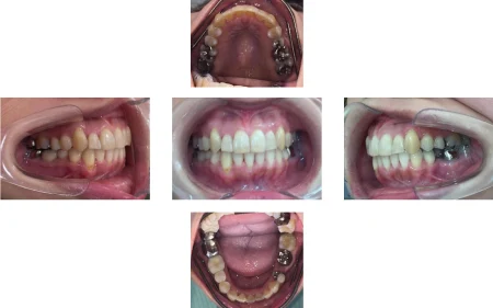
歯が綺麗に並び、見た目と噛み合わせが改善しました。
患者様にも「自信を持って笑えるようになりました」と大変ご満足いただいています。
今後、銀歯の部分を白く丈夫な「セラミック」に変えていく予定です。
この治療のリスクについて
・決められたアライナーの装着時間を守らないと、次のアライナーに交換できず、治療が遅れたり十分な効果が得られない場合があります。
・歯を抜いた後に矯正する場合や、あごの骨格に問題がある場合など、マウスピース矯正に対応していない症例は、治療が困難な可能性もあります。
・治療による歯の移動に伴って、痛みや違和感を感じる場合があります。
・他の矯正治療と同様に、正しく歯磨きやメンテナンスを行わないと虫歯や歯周病のリスクが高まります。
- 年齢・性別50代女性
- 診療種別自由診療
- 治療期間の目安2年
治療費総額の目安665,000円 - 【内訳】
- インビザラインフル 580,000円
- 検査代 30,000円
- 経過管理料 5,000円×11回
- 治療期間の目安2年


※掲載された情報は治療の効果を保証するものではありません。
ご利用により万一何らかの損害が発生したとしても、当サイトは一切責任を負いかねますのでご了承ください。








