
40代女性「生まれつき歯が1本足りず、真ん中がずれている」マウスピース型矯正装置「インビザラインフル」で隙間を作り、自然な見た目の「オールセラミックブリッジ」でずれた歯並びを治療した症例


ご相談内容
「生まれつき歯が1本足りず、真ん中がずれている」とご相談いただきました。
カウンセリング・診断結果
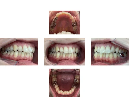
拝見したところ、左上の前歯(犬歯/3番)が生まれつきない「先天性欠損」でした。
噛み合わせた時は、上下の前歯の中心「正中」の不一致が認められました。左上の歯が1本足りないことで、上の正中は左にずれていました。
また、左右下の前歯4本(中切歯/1番、側切歯/2番)はデコボコに並ぶ「叢生(そうせい)」が見られました。
行ったご提案・治療内容
まず、マウスピース型矯正装置「インビザラインフル」で歯並びを整えながら犬歯の部分に隙間を作り、その後、犬歯の両隣の歯(側切歯と第1小臼歯/4番)の被せ物に人工の歯「ポンティック」をつけた「ブリッジ」を装着する治療をご提案しました。
矯正治療とブリッジでの治療を併せることで、本数の不足を補い、正中のずれを改善できることをご説明し、同意をいただきました。
矯正治療の際は、ブリッジが不自然にならないよう、犬歯1本分の隙間をしっかり作ることを意識しました。
ブリッジは、天然の歯のような色合いを再現できる「オールセラミックブリッジ」を選択し、より自然に仕上がるようにしました。
術後の経過・現在のご様子
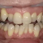
上下の正中は一致し、歯並びもきれいに整いました。
ブリッジを入れた部分は、噛み合わせも問題なく、自然な仕上がりになりました。
患者様には「とてもきれいに仕上がって嬉しい」と大変ご満足いただきました。
現在は、後戻りを防止するための「保定装置」を使用していただき、定期的に経過を確認しています。
この治療のリスクについて
・決められたアライナーの装着時間を守らないと、次のアライナーに交換できず、治療が遅れたり十分な効果が得られない場合があります。
・歯を抜いた後に矯正する場合や、あごの骨格に問題がある場合など、マウスピース矯正に対応していない症例は、治療が困難な可能性もあります。
・治療による歯の移動に伴って、痛みや違和感を感じる場合があります。
・他の矯正治療と同様に、正しく歯磨きやメンテナンスを行わないと虫歯や歯周病のリスクが高まります。
- 年齢・性別40代女性
- 診療種別自由診療
- 治療期間の目安2年2ヶ月
治療費総額の目安975,000円 - 【内訳】
- インビザラインフル 580,000円
- 検査代 30,000円
- 経過管理料 5,000円×13回
- 保定装置代 30,000円
- オールセラミックブリッジ 90,000円×3本
- 治療期間の目安2年2ヶ月


※掲載された情報は治療の効果を保証するものではありません。
ご利用により万一何らかの損害が発生したとしても、当サイトは一切責任を負いかねますのでご了承ください。








