
20代男性「前歯が出ている。下の歯が見えない」出っ歯と深い噛み合わせを、マウスピース型矯正装置「インビザラインフル」で改善した症例


ご相談内容
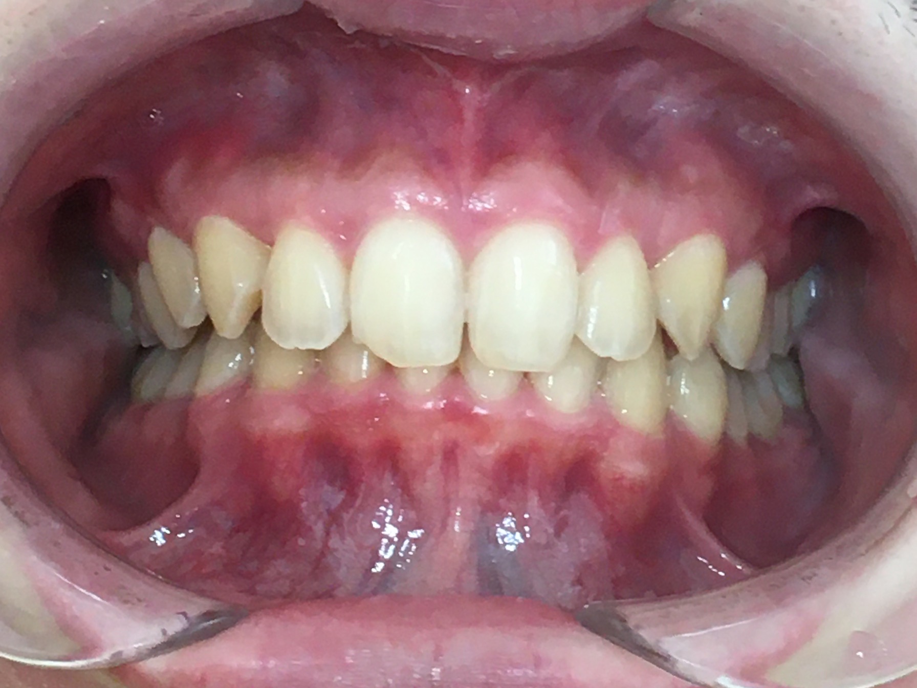
「前歯が前に出ていて、下の歯が見えない」とご相談いただきました。
カウンセリング・診断結果
拝見すると、上の前歯や上あごが前方に出ている歯並びの「上顎前突(じょうがくぜんとつ)」でした。
さらに、噛み合わせが深すぎて下の歯がほとんど見えない歯並びの「過蓋咬合(かがいこうごう)」もありました。
また、下左右には親知らず(第3大臼歯/8番)が2本ありました。
行ったご提案・治療内容
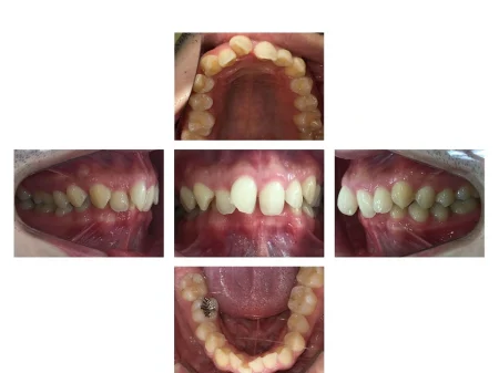
歯を動かすスペースを確保するために、下左右の親知らずを2本抜きました。
その後、上下左右の奥歯16本(第1小臼歯/4番・第2小臼歯/5番・第1大臼歯/6番・第2大臼歯/7番)を引っ張り出す「挺出(ていしゅつ)」を行うために、お口全体の矯正に適しているマウスピース型矯正装置「インビザラインフル」を選択しました。
この時、上顎前突を解消するために、上顎をしっかり後方に下げることを意識し治療を行いました。
さらに、近赤外線の光で周辺の骨と組織の細胞を刺激して矯正による歯の移動スピードを加速させる「PBM加速装置」を活用し、治療期間の短縮を目指しました。
術後の経過・現在のご様子
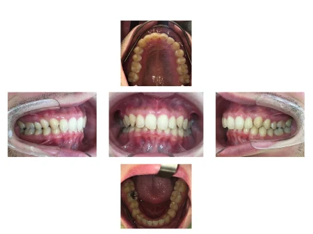
歯が綺麗に並び、見た目と噛み合わせが改善しました。
患者様も「綺麗になった。笑顔が増えた」と大変喜んでくださっています。
現在は、後戻り防止装置「保定装置」を使用しながら定期的にご来院いただき、健康で美しい状態を維持しています。
この治療のリスクについて
・決められたアライナーの装着時間を守らないと、次のアライナーに交換できず、治療が遅れたり十分な効果が得られない場合があります。
・歯を抜いた後に矯正する場合や、あごの骨格に問題がある場合など、マウスピース矯正に対応していない症例は、治療が困難な可能性もあります。
・治療による歯の移動に伴って、痛みや違和感を感じる場合があります。
・他の矯正治療と同様に、正しく歯磨きやメンテナンスを行わないと虫歯や歯周病のリスクが高まります。
- 年齢・性別20代男性
- 診療種別自由診療
- 治療期間の目安1年6ヶ月
治療費総額の目安815,000円 - 【内訳】
- インビザラインフル 590,000円
- 検査代 30,000円
- 加速装置 100,000円
- 経過管理料 5,000円×13回
- 保定装置代 30,000円
- 治療期間の目安1年6ヶ月


※掲載された情報は治療の効果を保証するものではありません。
ご利用により万一何らかの損害が発生したとしても、当サイトは一切責任を負いかねますのでご了承ください。








