
20代女性「左の2番目の歯が出ている」マウスピース型矯正装置「インビザラインフル」を使い、抜歯をせずに歯並びを整えた症例


ご相談内容
「左の2番目の歯が出ている」とご相談いただきました。
カウンセリング・診断結果
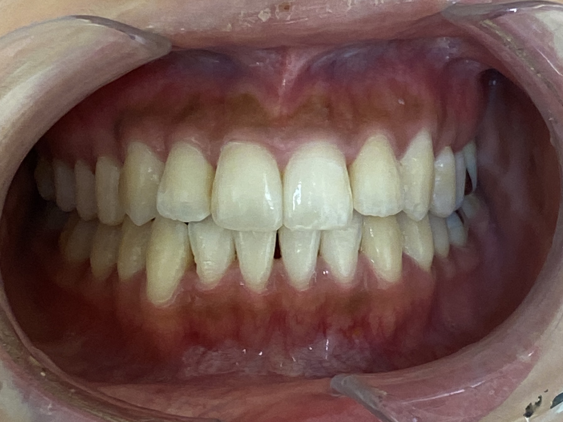
拝見したところ、左上の前歯(側切歯/2番)は外側に飛び出して生えていました。
それに加え、側切歯は両隣の歯(中切歯/1番と犬歯/3番)に重なり、デコボコに並ぶ「叢生(そうせい)」が見られました。
下の前歯(左右中切歯、右下側切歯、右下犬歯)にも、叢生が見られました。
また、噛み合わせた時、上下それぞれの前歯の中心「正中」のずれも認められました。
行ったご提案・治療内容
マウスピース型矯正装置「インビザラインフル」を使用して、歯の並びを整える治療をご提案しました。
抜歯をせずに歯を並べるため、奥歯を含めた歯並び全体の治療が必要なことをご説明し、同意いただきました。
治療の際は、歯並びを整えるだけでなく、正中を揃えることも意識しました。
術後の経過・現在のご様子
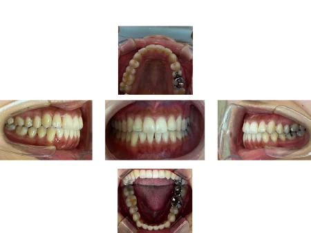
きれいな歯並びになり、噛み合わせた時に上下の正中も一致しました。
患者様は治療後に素敵な笑顔を見せてくださり、大変喜んでいただけました。
現在は、後戻り防止のための「保定装置」を使用していただき、定期的に経過を確認しています。
この治療のリスクについて
・決められたアライナーの装着時間を守らないと、次のアライナーに交換できず、治療が遅れたり十分な効果が得られない場合があります。
・歯を抜いた後に矯正する場合や、あごの骨格に問題がある場合など、マウスピース矯正に対応していない症例は、治療が困難な可能性もあります。
・治療による歯の移動に伴って、痛みや違和感を感じる場合があります。
・他の矯正治療と同様に、正しく歯磨きやメンテナンスを行わないと虫歯や歯周病のリスクが高まります。
- 年齢・性別20代女性
- 診療種別自由診療
- 治療期間の目安2年2ヶ月
治療費総額の目安735,000円 - 【内訳】
- インビザラインフル 650,000円
- 経過管理料 5,000×11回
- 保定装置代 30,000円
- 治療期間の目安2年2ヶ月


※掲載された情報は治療の効果を保証するものではありません。
ご利用により万一何らかの損害が発生したとしても、当サイトは一切責任を負いかねますのでご了承ください。








