
30代女性「前歯が酷くガタガタしている」スペースを確保するための「便宜抜歯」を行い、マウスピース型矯正装置「インビザラインフル」で歯並びをきれいに治療した症例


ご相談内容
「前歯が酷くガタガタしている」とご来院されました。
カウンセリング・診断結果
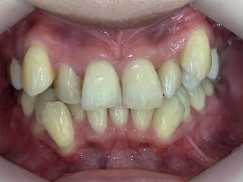
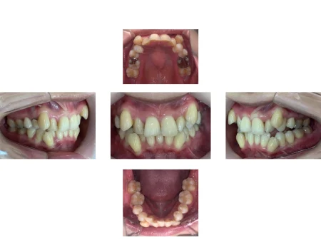
拝見したところ、上下左右の前から3番目の歯(犬歯/3番)は、歯の並び「歯列」から外側に飛び出て生える「八重歯」の状態でした。
八重歯の部分は、上下の歯が噛み合わず隙間があいていました。
また、上下の前歯(左右中切歯/1番、側切歯/2番、犬歯)はデコボコに並ぶ「叢生(そうせい)」が見られました。
患者様は「歯並びが気になって、人前で笑えない」とおっしゃっていました。
行ったご提案・治療内容
治療に際して、歯が並ぶスペースを確保するための抜歯「便宜抜歯(べんぎばっし)」が必要であることをご説明しました。
抜歯後は、マウスピース型矯正装置「インビザラインフル」で歯並びを整える治療をご提案し、同意をいただきました。
まず、上左右の前から4番目の歯(第1小臼歯/4番)と右下の前歯(側切歯)の計3本、便宜抜歯をしました。
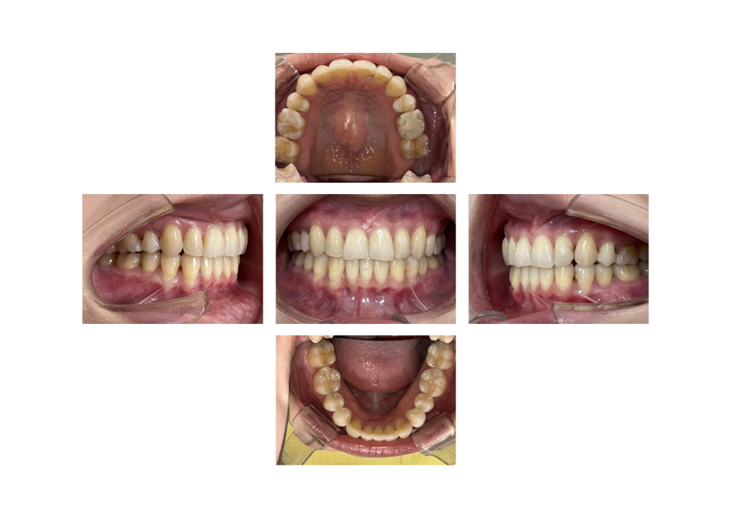
スペースが確保できた後は、患者様専用のマウスピースを作製し、歯の移動を行いました。
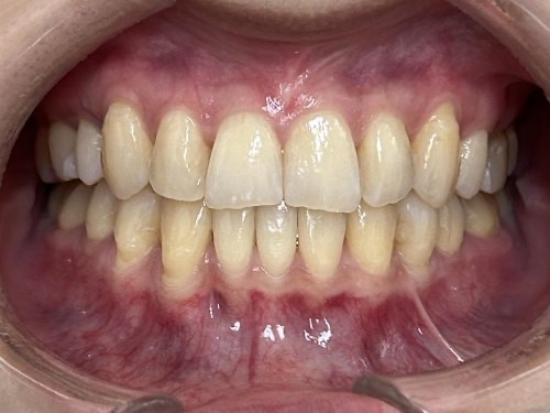
奥歯を含めた歯列全体の矯正治療を行い、見た目がきれいに整うよう注力しました。
術後の経過・現在のご様子
途中妊娠によって中断もありましたが、来院回数を減らすことで治療を継続できたので、きれいな歯並びになりました。
患者様には「人前でも気にせず笑えるようになりました」と、大変ご満足いただけました。
現在は、後戻りを防止するための装置「保定装置」を使用していただき、定期的に経過を確認しています。
この治療のリスクについて
・決められたアライナーの装着時間を守らないと、次のアライナーに交換できず、治療が遅れたり十分な効果が得られない場合があります。
・歯を抜いた後に矯正する場合や、あごの骨格に問題がある場合など、マウスピース矯正に対応していない症例は、治療が困難な可能性もあります。
・治療による歯の移動に伴って、痛みや違和感を感じる場合があります。
・他の矯正治療と同様に、正しく歯磨きやメンテナンスを行わないと虫歯や歯周病のリスクが高まります。
- 年齢・性別30代女性
- 診療種別自由診療
- 治療期間の目安2年5ヶ月
治療費総額の目安715,000円 - 【内訳】
- インビザラインフル 580,000円
- 検査代 30,000円
- 便宜抜歯 5,000円×3本
- 経過管理料 5,000×12回
- 保定装置代 30,000円
- 治療期間の目安2年5ヶ月


※掲載された情報は治療の効果を保証するものではありません。
ご利用により万一何らかの損害が発生したとしても、当サイトは一切責任を負いかねますのでご了承ください。








