
40代女性「ホワイトニングをやってみたい」歯の黄ばみを、歯科医院で行う「オフィスホワイトニング」とご自宅で行う「ホームホワイトニング」で改善し、清潔感のある白い歯にした症例


ご相談内容
「歯を白くするホワイトニングをやってみたい」とご来院いただきました。
カウンセリング・診断結果
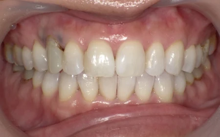
拝見したところ、全体的に歯の黄ばみが見られました。
患者様は「歯をお手入れしてきれいにすると、清潔感があり良いと思った。友人にホワイトニングをすすめられたのでやりたい」とご希望でした。
行ったご提案・治療内容
歯科医院で薬液を使用して歯を白くする「オフィスホワイトニング」と、ご自宅で専用のマウスピースとジェルを使用して行う「ホームホワイトニング」の併用をご提案しました。
2種類のホワイトニングを併用することでより早く効果が実感でき、きれいな歯が長持ちすることをご説明し、同意いただきました。
術後の経過・現在のご様子
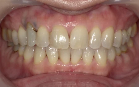
全体的に歯が明るくなり、美しい口元になりました。
患者様にも「歯が白くなって笑顔が増えた」と大変お喜びいただきました。
また、「古い被せ物の色も周りの歯に合わせて白くしたい」とご希望いただき、今後被せ物を交換する予定です。
この治療のリスクについて
個人差がありますが、治療中や治療後に歯がしみる場合があります。
- 年齢・性別40代女性
- 診療種別自由診療
- 治療期間の目安2ヶ月
- 《内訳》
- デュアルホワイトニング 98,000円
- 治療期間の目安2ヶ月
※掲載された情報は治療の効果を保証するものではありません。
ご利用により万一何らかの損害が発生したとしても、当サイトは一切責任を負いかねますのでご了承ください。








