
30代女性「ガタガタの前歯と八重歯が気になる」重なり合って生えている歯を、マウスピース型矯正装置「インビザラインフル」で改善し、美しく健康的な歯並びにした症例


ご相談内容
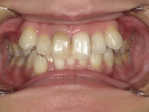
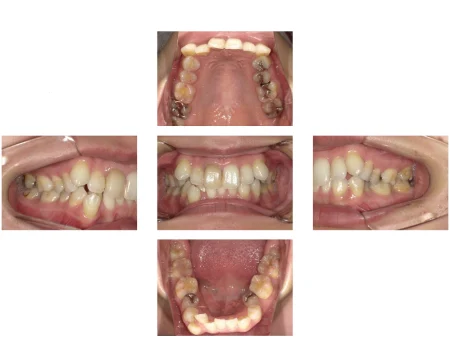
「ガタガタの前歯と八重歯が気になる」とご相談いただきました。
カウンセリング・診断結果
拝見したところ、歯の並ぶスペースが不足して歯並びがガタガタになっている「叢生(そうせい)」でした。
特に、上下左右の3番目の前歯(犬歯/3番)は正常な位置から飛び出して生えている「八重歯」になっていました。
噛み合わせも悪く、噛んだ時に上下の歯の真ん中がずれていました。
行ったご提案・治療内容
上下左右の歯を抜いてから、マウスピース型矯正装置「インビザラインフル」で全体の歯並びを整える治療をご提案しました。
歯を抜いてスペースを十分に確保する「便宜抜歯(べんぎばっし)」を行うことで、八重歯がきれいに並び、噛み合わせも改善できることをご説明し、同意いただきました。
まず、下の左右の奥歯(第2小臼歯/5番)2本と、上の左右の歯(第1小臼歯/4番)2本、合計4本の歯を抜きました。
その後、患者様専用のマウスピースを作製し、上下の歯の真ん中が揃うように意識しながら歯を動かしていきました。
術後の経過・現在のご様子
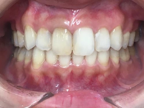
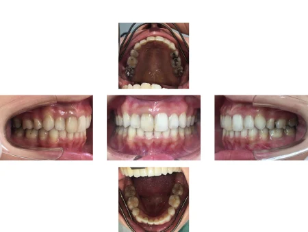
上下とも美しい歯並びになり、正常な位置でしっかり噛めるようになりました。
患者様にも「ずっと気になっていた歯並びが治って嬉しい」と非常にご満足いただきました。
現在は、歯の後戻りを防ぐための「保定装置」をご使用いただき、経過を拝見しています。
この治療のリスクについて
・決められたアライナーの装着時間を守らないと、次のアライナーに交換できず、治療が遅れたり十分な効果が得られない場合があります。
・歯を抜いた後に矯正する場合や、あごの骨格に問題がある場合など、マウスピース矯正に対応していない症例は、治療が困難な可能性もあります。
・治療による歯の移動に伴って、痛みや違和感を感じる場合があります。
・他の矯正治療と同様に、正しく歯磨きやメンテナンスを行わないと虫歯や歯周病のリスクが高まります。
- 年齢・性別30代女性
- 診療種別自由診療
- 治療期間の目安3年月
治療費総額の目安915,000円 - 【内訳】
- インビザラインフル 750,000円
- 検査代 30,000円
- 経過管理料 5,000円×17回
- 便宜抜歯 5,000円×4本
- 保定装置代30,000円
- 治療期間の目安3年月


※掲載された情報は治療の効果を保証するものではありません。
ご利用により万一何らかの損害が発生したとしても、当サイトは一切責任を負いかねますのでご了承ください。








