
10代男性「前歯が出ていて、口がいつも開いている」マウスピース型矯正装置「マイオブレース」で口周辺の筋肉のバランスを整えて歯並びを改善した症例


ご相談内容
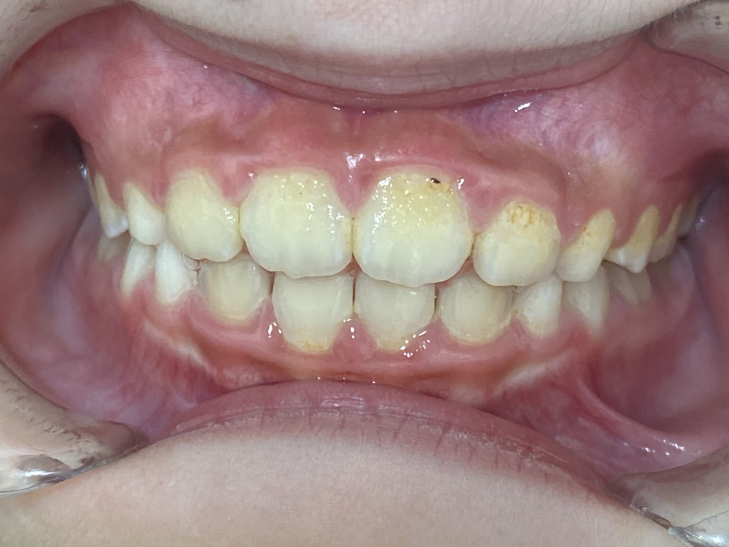
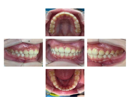
「歯が前に出ていて、いつも口が開いている」とご相談いただきました。
カウンセリング・診断結果
拝見すると、一般的に「口ぽかん」と言われる、安静時に口が開いている状態「口唇閉鎖不全(こうしんへいさふぜん)」でした。
また、上の前歯や上あごが前方に出ている歯並びの「上顎前突(じょうがくぜんとつ)」でした。
顎の大きさから判断して歯が並ぶスペースは十分にあったので、口周辺の筋肉の機能を整えることで改善が期待できると診断しました。
行ったご提案・治療内容
口周辺の筋肉のバランスを整え、正しく成長するように導く「マイオブレース」で治療しました。
マイオブレースは、就寝中のほか、1日1時間ほど装着しながら口周辺のトレーニングを行い、歯並びを悪くする原因である口呼吸や舌の癖、飲み込み時の悪い癖、さらに姿勢の改善につなげ、顎の健やかな成長と発育を促す「バイオセラピー」の治療ができます。
バイオセラピーに着実に取り組んでもらえるように、サポートをしっかり行いました。
術後の経過・現在のご様子
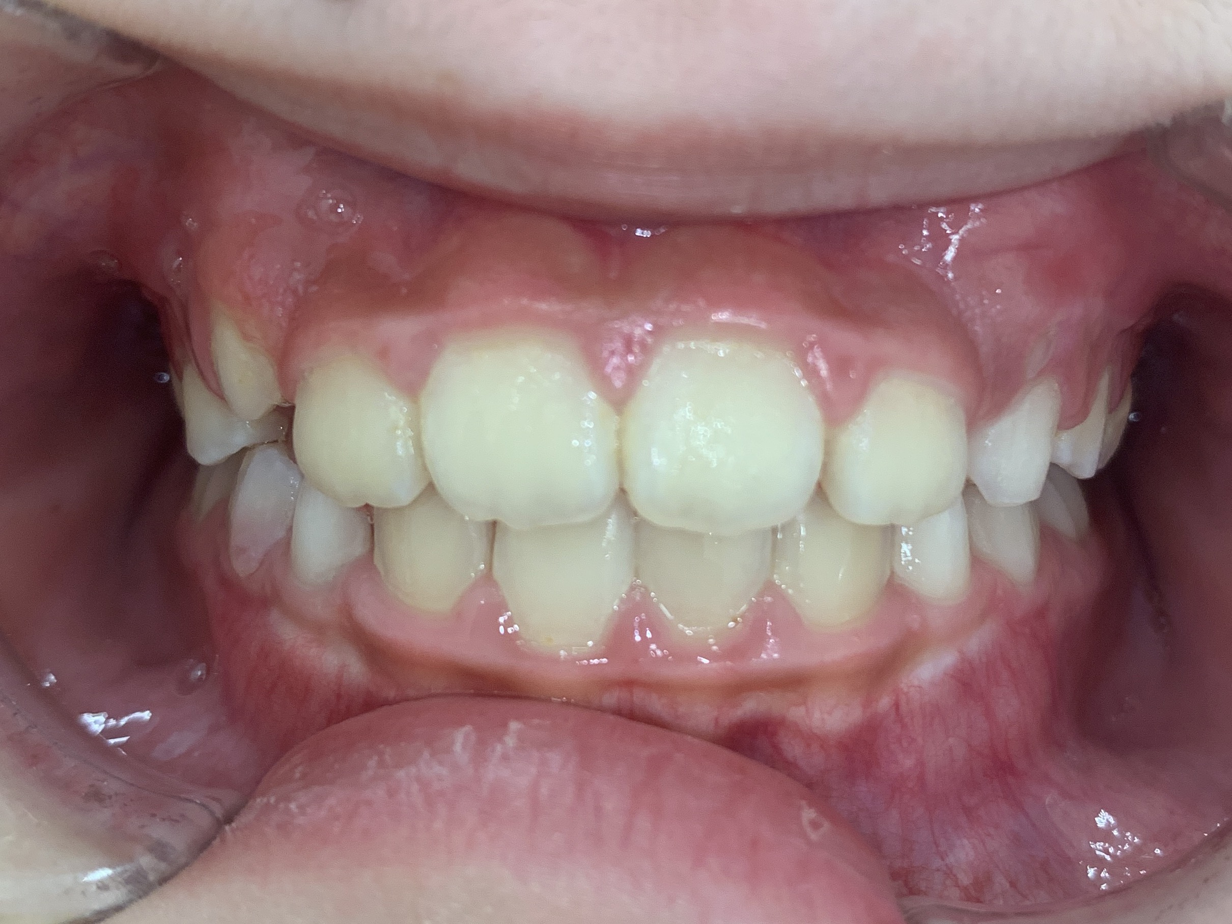
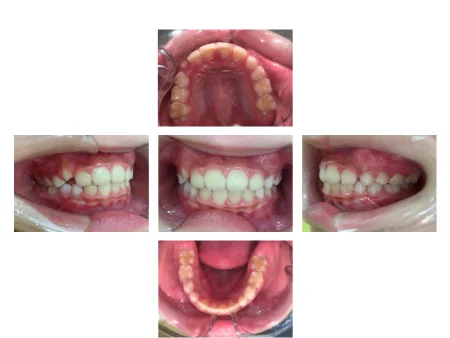
安静時も口が閉じるようになり、上顎前突も改善されました。
患者様にも「とても良くなった。うれしい」と、非常にご満足いただきました。
現在は、永久歯の生え具合を確認するために、定期検診で経過観察を行っています。
この治療のリスクについて
・決められたスケジュールを守らないと十分な効果が得られない場合があります
・治療による歯の移動に伴って痛みや違和感を感じる場合があります
・他の矯正治療と同様に、正しく歯磨きやメンテナンスを行わないと虫歯や歯周病のリスクが高まります
- 年齢・性別10代男性
- 診療種別自由診療
- 治療期間の目安5年
治療費総額の目安186,000円 - 【内訳】
- 検査代 30,000円
- 装置代 120,000円
- 経過管理料 2,000円×18回
- 治療期間の目安5年


※掲載された情報は治療の効果を保証するものではありません。
ご利用により万一何らかの損害が発生したとしても、当サイトは一切責任を負いかねますのでご了承ください。








