
20代女性「噛み合わせが深く、前歯も出ている」上の歯が下の歯に覆い被さった「過蓋咬合」と突き出した前歯を、マウスピース型矯正装置「インビザラインフル」で歯を抜かずに改善した症例


ご相談内容
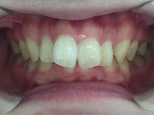
「噛み合わせが深いのと、前歯が出ているのが気になる」とご相談いただきました。
カウンセリング・診断結果
拝見したところ、上の歯が下の歯に覆い被さった深い噛み合わせの「過蓋咬合(かがいこうごう)」が認められました。
噛み合わせが悪いことで、あごの関節に負担がかかっており、将来的に痛みが出る可能性がありました。
また、歯が全体的に重なり合ってでこぼこに生えており、特に上の前歯は前方に突き出した「上顎前突(じょうがくぜんとつ)」でした。
患者様は「親知らずを抜かずに治療したい」とご希望でした。
行ったご提案・治療内容
取り外し式のマウスピース型矯正装置「インビザラインフル」で歯並びを整える治療をご提案しました。
インビザラインフルを用いることで歯を抜かずに治療できること、あごを適切な位置に誘導し噛み合わせを改善できることをご説明し、同意いただきました。
歯を動かす際は、光を当てて治療の効果を促進させる「光加速矯正装置」を併用し、歯の移動を早めて治療期間の短縮に努めました。
術後の経過・現在のご様子
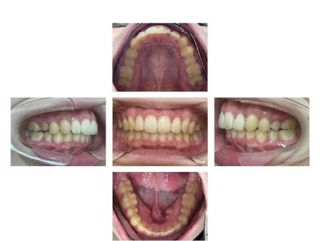
歯がまっすぐきれいに並び、正しい位置で噛めるようになりました。
患者様にも「歯並びを気にせず笑えるようになった」と非常にご満足いただきました。
現在は、歯並びの後戻りを防ぐための「保定装置」をご使用いただき、経過を観察しています。
この治療のリスクについて
・決められたアライナーの装着時間を守らないと、次のアライナーに交換できず、治療が遅れたり十分な効果が得られない場合があります。
・歯を抜いた後に矯正する場合や、あごの骨格に問題がある場合など、マウスピース矯正に対応していない症例は、治療が困難な可能性もあります。
・治療による歯の移動に伴って、痛みや違和感を感じる場合があります。
・他の矯正治療と同様に、正しく歯磨きやメンテナンスを行わないと虫歯や歯周病のリスクが高まります。
- 年齢・性別20代女性
- 診療種別自由診療
- 治療期間の目安1年3ヵ月
治療費総額の目安795,000円 - 【内訳】
- インビザラインフル 590,000円
- 検査代 30,000円
- 光加速矯正装置代 100,000円
- 経過管理料 5,000円×9回
- 保定装置代 30,000円
- 治療期間の目安1年3ヵ月


※掲載された情報は治療の効果を保証するものではありません。
ご利用により万一何らかの損害が発生したとしても、当サイトは一切責任を負いかねますのでご了承ください。








